Киста грудной молочной железы — распространенное доброкачественное образование, вызывающее беспокойство у женщин. Кисты могут проявляться различными симптомами и требуют внимательной диагностики и лечения. В статье рассмотрим основные симптомы, причины образования кист, методы диагностики и современные подходы к лечению, включая народные средства. Эта информация поможет женщинам распознать проблему и обратиться за медицинской помощью, что способствует сохранению здоровья и предотвращению осложнений.
Симптомы кисты молочной железы
Чтобы установить диагноз, необходимо обратить внимание на симптомы, что иногда может быть достаточно сложно. Кисты могут формироваться как в одной, так и в обеих грудных железах одновременно. Определить наличие такого образования и отличить его от других опухолей можно по следующим характеристикам:
- Подвижная опухоль с четкими границами, напоминающая мягкий мячик, которую женщины часто обнаруживают случайно или во время самообследования груди;
- Наличие болей или повышенной чувствительности в области образования;
- Увеличение размера опухоли и болезненность груди перед началом менструации;
- Выделения из сосков, варьирующие от желтовато-серого до коричневого оттенка;
- Уменьшение размеров опухоли и расслабление груди после менструации.
Врачи отмечают, что киста грудной молочной железы является распространенным доброкачественным образованием, которое чаще всего встречается у женщин в репродуктивном возрасте. Симптомы могут варьироваться от отсутствия каких-либо проявлений до появления болезненности, отечности и изменения формы груди. В некоторых случаях кисты могут вызывать дискомфорт, особенно перед менструацией.
Для диагностики используются ультразвуковое исследование и маммография, что позволяет точно определить характер образования. Лечение кисты зависит от ее размера и симптоматики. В большинстве случаев врачи рекомендуют наблюдение, однако при наличии выраженных симптомов или увеличении размера кисты может потребоваться аспирация жидкости или хирургическое вмешательство. Важно, чтобы женщины регулярно проходили обследования, так как ранняя диагностика позволяет избежать осложнений и сохранить здоровье.
https://youtube.com/watch?v=jMpd62s-eJU
Причины образования кисты в груди
Кисты в молочной железе обычно возникают из-за разрастания железистой и соединительной ткани, которые блокируют молочные протоки. Эти образования заполняются жидкостью и могут увеличиваться в размере, при нажатии они напоминают воздушный шарик.
Существуют кисты различных размеров: маленькие, которые зачастую можно обнаружить только во время медицинского обследования, обычно исчезают самостоятельно в течение менструального цикла, и более крупные, которые, как правило, вызывают дискомфорт и оказывают давление на окружающие ткани молочной железы. Точные причины появления кист в груди до конца не изучены, однако известно, что повышенный уровень эстрогена в крови может привести к отеку желез и их дальнейшему разрастанию.
Если вы заметили небольшую кисту, перед тем как обратиться к врачу, разумно подождать несколько недель, чтобы выяснить, исчезнет ли образование в течение одного менструального цикла. Если это произойдет, скорее всего, новообразование связано с менструацией и не требует медицинского вмешательства. Однако если киста не исчезает в течение месяца, становится более плотной, увеличивается в размере или наблюдается воспаление груди, это является основанием для обращения к врачу для установления точного диагноза и назначения необходимого лечения.
| Категория | Описание | Рекомендации |
|---|---|---|
| Симптомы | Основные проявления кисты молочной железы | Что делать при обнаружении |
| Боль в груди | Чаще всего тупая, ноющая, усиливающаяся перед менструацией. Может быть локализованной или распространяться на всю грудь. | Обратиться к маммологу для обследования. |
| Ощущение уплотнения | Округлое, гладкое, подвижное образование, которое может менять размер в зависимости от фазы цикла. | Не пытаться самостоятельно выдавливать или массировать. |
| Изменение размера груди | Иногда киста может вызывать асимметрию груди, если она достаточно крупная. | Регулярно проводить самообследование молочных желез. |
| Выделения из соска | Редко, но могут быть прозрачными, желтоватыми или зеленоватыми. | Немедленно обратиться к врачу, особенно если выделения кровянистые. |
| Диагностика | Методы выявления кисты | Важность своевременной диагностики |
| Пальпация | Осмотр и прощупывание молочных желез врачом. | Позволяет первично определить наличие уплотнений. |
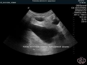
| УЗИ молочных желез | Основной метод для дифференциации кисты от других образований. Позволяет оценить размер, форму и содержимое кисты. | Высокоинформативный и безопасный метод, особенно для молодых женщин. |
| Маммография | Рентгеновское исследование молочных желез. Используется для женщин старше 40 лет или при подозрении на злокачественный процесс. | Помогает выявить мелкие кисты и другие изменения, не пальпируемые при осмотре. |
| Пункция кисты с цитологическим исследованием | Забор содержимого кисты тонкой иглой для анализа под микроскопом. | Позволяет исключить атипичные клетки и подтвердить доброкачественный характер образования. |
| Лечение | Подходы к терапии кисты молочной железы | Профилактика и наблюдение |
| Наблюдение | При небольших, бессимптомных кистах может быть рекомендовано динамическое наблюдение с регулярными УЗИ. | Важно соблюдать рекомендации врача и не пропускать контрольные обследования. |
| Пункция и аспирация содержимого | Удаление жидкости из кисты с помощью тонкой иглы. Часто приводит к исчезновению кисты. | Процедура может быть повторена при рецидиве кисты. |
| Гормональная терапия | В некоторых случаях могут быть назначены гормональные препараты для коррекции гормонального фона. | Применяется по назначению врача и под его контролем. |
| Хирургическое удаление | Редко, при больших, быстрорастущих кистах, рецидивирующих кистах или при подозрении на злокачественный процесс. | Проводится при наличии строгих показаний. |
| Изменение образа жизни | Снижение потребления кофеина, отказ от курения, сбалансированное питание, контроль стресса. | Может способствовать уменьшению дискомфорта и предотвращению образования новых кист. |
Диагностика кистозного образования в груди
При первом визите врач проведет физический осмотр груди и с помощью пальпации выявит наличие уплотнений. Для более точного диагноза специалист часто назначает УЗИ молочных желез, которое позволяет определить, заполнена ли опухоль в груди жидкостью или имеет твердую структуру. Наличие жидкости обычно указывает на кисту молочной железы, тогда как твердые образования могут свидетельствовать о фиброаденоме или злокачественном новообразовании.
Физический осмотр и УЗИ в большинстве случаев предоставляют врачу достаточно информации для диагностики кистозного образования. Однако если симптомы нечеткие и затрудняют установление точного диагноза, может быть рекомендована биопсия ткани опухоли или жидкости из кисты, а также маммографическое исследование, которые помогут получить ясную картину о характере новообразования.
https://youtube.com/watch?v=An7aeZTuVfc
Лечение кисты молочных желез
Как лечить опухоль молочной железы? Для многих женщин основное беспокойство, связанное с кистами, заключается в опасениях по поводу их возможной злокачественности. Однако важно понимать, что киста – это не рак. Вероятность того, что киста в груди перерастет в рак, не выше, чем у других участков молочной железы. Научные исследования не подтверждают связь между кистами и развитием рака, что снижает необходимость в экстренных операциях по их удалению. На ранних стадиях, когда киста небольшая, врач может предложить просто наблюдение, так как такие образования часто рассасываются самостоятельно после нескольких менструальных циклов.
Наиболее распространенный способ удаления опухоли – это тонкоигольная аспирация. Эта процедура заключается в том, что врач с помощью тонкой иглы извлекает жидкость из опухоли. Операция проводится под местным наркозом и не вызывает боли. Если жидкость успешно удалена и образование исчезает, врач может сделать вывод, что это была киста, и дальнейшее обследование не требуется. В случае, если в жидкости обнаруживаются сгустки крови и уплотнение сохраняется, образец отправляется на лабораторное исследование для исключения наличия раковых клеток.
Важно помнить, что дренирование жидкости из опухоли не гарантирует, что киста не появится вновь. Поэтому необходимо проводить комплексное лечение и выявлять причины возникновения кист в груди.
Эндокринолог может назначить гормональное обследование, и при выявлении дисбаланса назначит препараты для снижения уровня эстрогенов. Женщинам рекомендуется нормализовать свой вес, так как избыточные килограммы могут способствовать росту кист в молочной железе. Также важно следить за эмоциональным состоянием, избегать стрессов, а в некоторых случаях можно использовать успокоительные средства по рекомендации врача.
Если опухоль вызывает воспаление в груди, сопровождающееся повышением температуры и увеличением лимфоузлов, врач может назначить антибиотики, противовоспалительные и обезболивающие препараты.
Операция по удалению кисты молочной железы требуется только в крайних случаях. Хирургическое вмешательство оправдано, если опухоль значительно увеличивается, вызывает физический дискомфорт, в жидкости имеются примеси крови или есть другие настораживающие симптомы.
Хирургическая процедура, при которой удаляется опухоль с сохранением молочной железы, называется лампэктомия и проводится под общим наркозом. Во время операции берутся образцы тканей для проверки на наличие злокачественных клеток. Если опухоль оказывается доброкачественной, она просто удаляется, а полость зашивается косметическим швом. В случае обнаружения рака выполняется резекция груди.
В последнее время все чаще применяется метод лапароскопии для удаления кист: через небольшие надрезы на коже извлекается опухоль. Эта операция менее травматична, не оставляет шрамов на груди, и пациентка может быть выписана домой в тот же день для дальнейшего амбулаторного лечения.
Народные средства для лечения кисты молочной железы
Важно подчеркнуть, что применять методы альтернативной медицины следует только после консультации с врачом и проведения всех необходимых обследований молочной железы.
Домашние средства могут помочь снизить воспаление, облегчить дискомфорт и боль в груди:
- Капустный лист с медом нужно прикладывать к груди, обернуть теплым шарфом и оставить на несколько часов. Этот способ способствует уменьшению воспалительных процессов и облегчению болевых ощущений.
- Теплый компресс и легкий массаж груди могут значительно снизить уровень боли.
- Лопух является отличным помощником для женщин, страдающих от различных заболеваний молочных желез. Он обладает противовоспалительными и противоотечными свойствами, а также помогает восстановить менструальный цикл. Лист лопуха, предварительно вымытый и высушенный, следует прикладывать к груди в виде компресса, обернув тканевой салфеткой. Корни лопуха можно измельчить, заварить кипятком, настоять в течение 6 часов и принимать по одному глотку 3-4 раза в день.
- Зверобой является мощным природным антисептиком. Для лечения кисты рекомендуется заварить сушеную траву зверобоя, укутать и дать настояться. Полученный отвар можно использовать в качестве компресса, смочив им тканевую салфетку и прикладывая к груди на несколько часов.
- Масло примулы вечерней, принимаемое внутрь, поможет восстановить менструальный цикл, нормализовать гормональный баланс и снизить болезненность и чувствительность груди перед менструацией.
https://youtube.com/watch?v=UYj-f_7HUQE
Профилактика образования кисты в молочной железе
Точная причина формирования кистозных образований в груди остается неизвестной, однако соблюдение здорового образа жизни может снизить риск заболеваний молочных желез. Эксперты рекомендуют:
- Сократить потребление кофеина, а также соленых и жирных продуктов;
- Выбирать удобные бюстгальтеры с хорошей поддержкой и широкими лямками, которые не деформируют грудь;
- Регулярно, раз в месяц, проводить самообследование груди для раннего обнаружения опухолей;
- Обязательно проходить ежегодные медицинские обследования молочных желез для выявления любых изменений на ранних стадиях;
- Контролировать уровень гормонов в крови, особенно если используются оральные контрацептивы;
- Просто дожить до старшего возраста. С возрастом, особенно после менопаузы, вероятность появления кист в груди у женщин снижается.
Влияние гормонов на образование кист в молочной железе
Образование кист в молочной железе у женщин часто связано с гормональными изменениями в организме. Гормоны, такие как эстроген и прогестерон, играют ключевую роль в регуляции менструального цикла и могут оказывать значительное влияние на состояние тканей молочной железы.
Эстроген, который вырабатывается яичниками, способствует росту и развитию клеток молочной железы. При повышенном уровне этого гормона может происходить избыточное разрастание тканей, что в свою очередь может привести к образованию кист. Кисты представляют собой заполненные жидкостью полости, которые могут возникать в результате закупорки протоков молочной железы или избыточного роста клеток.
Прогестерон, другой важный гормон, также влияет на состояние молочной железы. Он отвечает за подготовку тканей к возможной беременности и может вызывать изменения в структуре железы в течение менструального цикла. Неправильное соотношение эстрогена и прогестерона может привести к дисбалансу, что способствует образованию кист.
Кроме того, гормональные изменения могут происходить в результате различных факторов, таких как стресс, неправильное питание, заболевания щитовидной железы и другие эндокринные расстройства. Эти факторы могут влиять на уровень гормонов в организме, что, в свою очередь, может способствовать образованию кист в молочной железе.
Важно отметить, что кисты молочной железы чаще всего являются доброкачественными образованиями и не всегда требуют лечения. Однако, если они вызывают дискомфорт или имеют подозрительные характеристики, необходимо обратиться к врачу для дальнейшего обследования и возможного лечения.
Таким образом, гормональные изменения играют важную роль в образовании кист в молочной железе. Понимание этих процессов может помочь женщинам лучше осознавать свое здоровье и своевременно реагировать на изменения в организме.
Осложнения и риски, связанные с кистами молочной железы
Кисты молочной железы, хотя и являются доброкачественными образованиями, могут вызывать определенные осложнения и риски, которые важно учитывать. Одним из основных рисков является возможность увеличения размера кисты, что может привести к дискомфорту и болевым ощущениям. В некоторых случаях, если киста становится достаточно большой, она может сдавливать окружающие ткани и вызывать изменения в форме груди.
Еще одним осложнением является вероятность воспаления кисты. Воспаление может произойти, если киста инфицируется, что приведет к появлению таких симптомов, как покраснение кожи, отек и усиление болевых ощущений. В таких случаях может потребоваться медицинское вмешательство, включая дренирование кисты или назначение антибиотиков.
Хотя кисты молочной железы в большинстве случаев являются доброкачественными, важно помнить о возможности их трансформации. В редких случаях киста может содержать атипичные клетки, что может потребовать дополнительного наблюдения и, возможно, биопсии для исключения злокачественного процесса. Поэтому регулярные обследования и маммография являются важными для женщин, особенно тех, кто находится в группе риска.
Также стоит отметить, что наличие кист может вызывать психологический дискомфорт у женщин. Страх перед возможностью рака молочной железы или беспокойство по поводу изменений в внешнем виде груди могут негативно сказаться на эмоциональном состоянии. В таких случаях важно обратиться к специалисту для получения информации и поддержки.
Наконец, кисты могут влиять на выбор методов лечения и диагностики. Например, если у женщины уже есть кисты, это может затруднить интерпретацию результатов маммографии или ультразвукового исследования, что требует более тщательного подхода к обследованию.
Психологические аспекты и поддержка женщин с кистами молочной железы
Киста молочной железы может вызывать не только физический дискомфорт, но и значительные психологические последствия для женщин. Столкнувшись с диагнозом, многие испытывают страх, тревогу и неуверенность в себе. Понимание того, что кисты, как правило, являются доброкачественными образованиями, может помочь снизить уровень стресса, однако не все женщины воспринимают эту информацию одинаково.
Психологические аспекты, связанные с наличием кисты, могут варьироваться от легкой тревожности до серьезных депрессивных состояний. Женщины могут беспокоиться о своем здоровье, бояться рака или других осложнений, что может привести к постоянному стрессу и ухудшению качества жизни. Важно отметить, что такие переживания являются нормальной реакцией на диагноз, и многие женщины сталкиваются с подобными эмоциями.
Поддержка со стороны близких и профессионалов играет ключевую роль в преодолении психологических трудностей. Открытое общение с партнерами, друзьями и членами семьи может помочь женщинам выразить свои чувства и получить необходимую эмоциональную поддержку. Группы поддержки, где женщины могут делиться своими переживаниями и опытом, также могут оказаться полезными. Это создает пространство для обмена информацией и уменьшает чувство изоляции.
Психотерапия и консультации с психологом могут быть эффективными методами для женщин, испытывающих сильные эмоциональные нагрузки. Специалисты могут помочь разобраться в чувствах, научить справляться с тревогой и страхами, а также предложить стратегии для улучшения психоэмоционального состояния. В некоторых случаях может быть полезно использовать методы релаксации, такие как медитация, йога или дыхательные практики, которые способствуют снижению уровня стресса.
Важно помнить, что каждая женщина уникальна, и ее реакция на диагноз может отличаться. Поддержка и понимание со стороны окружающих, а также профессиональная помощь могут значительно улучшить качество жизни и помочь справиться с эмоциональными трудностями, связанными с наличием кисты молочной железы.






