Перелом лодыжки со смещением — серьезная травма, влияющая на качество жизни и физическую активность. В статье рассмотрим причины, симптомы и методы лечения, включая консервативные и хирургические подходы. Также обсудим важность реабилитации для восстановления функциональности голеностопного сустава и предотвращения осложнений. Эта информация будет полезна пациентам и их близким, желающим поддержать в процессе лечения и восстановления.
Перелом голеностопного сустава со смещением
Щиколотки формируют своеобразную вилку, которая ограничивает голеностопный сустав с обеих сторон. Этот сустав испытывает основную статическую нагрузку от массы тела, а также значительную динамическую нагрузку во время движения. Поэтому травмы, связанные с повреждением щиколоток, являются довольно распространённым явлением. Особенно это касается спортсменов, детей и женщин, предпочитающих обувь на каблуках. Наибольшее количество подобных травм наблюдается в зимний период из-за гололедицы.
Врачи отмечают, что перелом лодыжки со смещением часто сопровождается резкой болью, отеком и ограничением подвижности в области голеностопного сустава. Пациенты могут испытывать трудности при попытке встать на ногу, а также замечают деформацию в области лодыжки. Важно своевременно обратиться за медицинской помощью, так как неправильное лечение может привести к долгосрочным последствиям.
Лечение таких переломов обычно включает в себя иммобилизацию с помощью гипса или ортеза, а в более сложных случаях может потребоваться хирургическое вмешательство для восстановления нормального положения костей. Врачами подчеркивается важность реабилитации после снятия гипса, которая включает физиотерапию и упражнения для восстановления подвижности и силы. Правильный подход к лечению и реабилитации позволяет пациентам вернуться к активной жизни в кратчайшие сроки.
https://youtube.com/watch?v=jOJglWnGLX8
Причины перелома голеностопа со смещением
Целостность лодыжки может быть нарушена как в результате прямых, так и непрямых травм. Прямая травма подразумевает удар по кости, что может привести к перелому одной из щиколоток. Такие повреждения часто возникают из-за падения тяжелых предметов на ногу, в ходе драк, дорожно-транспортных происшествий и других подобных ситуаций.
Тем не менее, чаще всего встречаются непрямые травмы, известные в народе как «подворачивание ноги», при которых происходит повреждение одной из костей.
Эти травмы могут произойти, если человек подскользнется на скользкой поверхности, такой как кафель, мокрый пол, снег или лед, а также при неосторожной ходьбе, занятиях спортом, катании на коньках или роликах и в других случаях.
Вероятность повреждения кости возрастает при наличии следующих факторов:
- недостаток кальция (пожилой возраст, беременность, период грудного вскармливания, подростковый возраст);
- нехватка кальция из-за заболеваний надпочечников и почек, паращитовидной и щитовидной желез, органов пищеварения, несбалансированного питания, акромегалии, дефицита витамина D3, а также при использовании оральных контрацептивов;
- заболевания костной системы (остеопатия, остеомиелит, остеопороз, деформирующий артроз, артриты, туберкулез и сифилис, хондродисплазии и наследственные болезни, новообразования костей).
| Категория | Симптомы | Лечение |
|---|---|---|
| Общие признаки | Сильная боль в области голеностопа, усиливающаяся при движении и попытке опереться на ногу | Иммобилизация (гипс, ортез), обезболивающие препараты, холодные компрессы |
| Визуальные изменения | Отек, гематома (синяк), деформация сустава (неестественное положение стопы) | Репозиция (вправление смещения) под местной или общей анестезией |
| Функциональные нарушения | Невозможность наступить на ногу, ограничение подвижности голеностопного сустава | Хирургическое вмешательство (остеосинтез) при нестабильных переломах или невозможности закрытой репозиции |
| Дополнительные симптомы | Хруст при травме, онемение или покалывание в стопе (при повреждении нервов) | Физиотерапия, лечебная физкультура после снятия иммобилизации для восстановления функции |
| Осложнения (при отсутствии лечения) | Неправильное сращение, хронические боли, артроз, нарушение походки | Длительная реабилитация, возможно повторное хирургическое вмешательство |
Виды переломов лодыжки
Специалисты выделяют несколько типов переломов:
- перелом латеральной (наружной) лодыжки;
- перелом медиальной (внутренней) лодыжки.
Травмы могут быть как открытыми, так и закрытыми, что зависит от состояния кожных покровов. Кроме того, они могут быть со смещением или без него — это определяется положением фрагментов повреждённой кости.
Тип перелома также зависит от механизма травмы:
- супинационный перелом, при котором стопа поворачивается внутрь;
- пронационный перелом, при котором стопа поворачивается наружу;
- ротационный перелом — голень вращается вокруг своей оси, в то время как стопа остаётся неподвижной.
https://youtube.com/watch?v=fKPvFNh80zY
Симптомы и признаки перелома лодыжки
Характер и выраженность симптомов зависят от области повреждения кости и степени тяжести травмы (наличия вывихов, смещений, растяжений связок ноги и других факторов).
При переломах щиколотки можно наблюдать следующие признаки:
- Боль. Обычно болевые ощущения возникают сразу после травмы. Однако в некоторых эмоциональных состояниях боль может проявиться позже (например, если спортсмен завершает соревнование на адреналине). Боль острая, мешает пострадавшему наступить на повреждённую ногу, усиливается при движениях и увеличении нагрузки. При пальпации травмированного места боль становится особенно резкой. В случае множественных травм (например, после ДТП) у пострадавшего может развиться болевой шок.
- Отёк. Травма приводит к увеличению объёма щиколотки из-за отёка, контуры лодыжек становятся менее выраженными, а при нажатии на кожу остаётся ямка. В сложных случаях отёк может распространяться за пределы щиколотки и затрагивать всю конечность.
- Крепитация и хруст. Во время травмы пострадавший может ощутить хруст. Позже, при пальпации области перелома, можно услышать крепитацию.
- Кровоизлияния. В области повреждения образуется синяк, который может спуститься вниз к пятке. Этот симптом особенно заметен при переломах со смещением, так как в таких случаях происходит значительное повреждение кровеносных сосудов и мягких тканей.
- Изменение положения стопы. В зависимости от типа перелома стопа пострадавшего может поворачиваться наружу или внутрь. Этот признак характерен для серьёзных травм щиколотки — переломов, сопровождающихся вывихами.
- Нарушение функции голеностопного сустава. В зависимости от степени травмы пострадавший может испытывать трудности при движении или вовсе не иметь возможности нормально двигаться. У него могут наблюдаться аномальные движения голеностопного сустава, неестественное положение стопы и явный хруст при движении.
Апикальный перелом наружной лодыжки
Для данной травмы характерно повреждение малоберцовой кости. В таких случаях у пострадавшего могут отсутствовать все признаки перелома, так как эта кость соединена с большеберцовой и не принимает на себя основную нагрузку. Боль может ощущаться лишь при пальпации травмированной области, а наиболее заметным симптомом является отёк в месте повреждения.
Многие пострадавшие, сталкиваясь с такими слабо выраженными симптомами, решают не обращаться к врачу и отказываются от диагностики и дальнейшего лечения. Однако подобные травмы часто приводят к негативным изменениям в малоберцовом нерве, которые могут быть выявлены только в ходе полноценного обследования. После этого специалист сможет назначить адекватное лечение.
https://youtube.com/watch?v=_i2BaC5k_X0
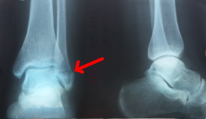
Перелом внутренней лодыжки со смещением
Данная травма связана с повреждением большеберцовой кости. Внутренний перелом может быть как прямым, так и косым. Прямой перелом характеризуется пронацией и сопровождается растяжением дельтовидной связки, а также наружным поворотом стопы. Косой перелом может быть как открытым, так и закрытым. При этом типе травмы наблюдается супинация стопы, и происходит откалывание части внутренней лодыжки над пяточной костью.
Также существует краевой перелом, при котором происходит повреждение обеих лодыжек с их смещением. Эта травма считается наиболее серьезной и требует длительного лечения и реабилитации. При краевых переломах часто возникают осложнения.
Лечение лодыжечного перелома
Лечение перелома лодыжки зависит от тяжести полученной травмы. Для восстановления целостности костей применяются как нехирургические, так и оперативные подходы.
Когда выполняется консервативное лечение?
Консервативное лечение применяется в следующих ситуациях:
- Незначительное повреждение связок голеностопного сустава;
- Закрытый перелом лодыжки без смещения костных фрагментов;
- Наличие противопоказаний к хирургическому вмешательству (пожилой возраст, тяжелое течение сахарного диабета, некоторые заболевания нервной и сердечно-сосудистой систем и др.);
- Перелом со смещением, который можно исправить закрытым способом.
Иммобилизирующая повязка
Закрытый перелом без смещения лечится с помощью иммобилизирующей повязки, изготовленной из полимерных материалов или гипса. Она накладывается на стопу и заднюю часть голеностопного сустава. Бинтование стопы выполняется сверху вниз, а на голени — наоборот. Важно, чтобы повязка не вызывала повреждений кожи (натираний) и не создавала у пациента ощущения онемения или сдавливания.
Срок обездвиживания ноги зависит от индивидуальных особенностей организма (например, наличия сопутствующих заболеваний или возраста пациента), а также от степени тяжести травмы.
После проведения контрольного рентгеновского обследования врач принимает решение о снятии повязки.
Закрытая ручная репозиция (сопоставление обломков)
Эта процедура выполняется при наличии смещения костных фрагментов и осуществляется перед наложением гипса. После введения местного наркоза (в некоторых случаях может потребоваться общая анестезия) врач сгибает конечность в тазобедренном и коленном суставах под углом 90 градусов, в то время как его ассистент фиксирует бедро. Одной рукой специалист захватывает голень сзади, по бокам и снизу, а другой — спереди пятки или голеностопа, в зависимости от характера травмы. При этом стопа находится в согнутом положении. Затем врач возвращает стопу в нормальное положение, вправляя кости, и фиксирует их с помощью иммобилизирующей повязки. Срок ношения гипса при переломах со смещением определяется на основании рентгеновских снимков.
Хирургическое лечение
Оперативное вмешательство при лечении травмы лодыжки со смещением необходимо в следующих случаях:
- Переломы обеих щиколоток;
- открытые переломы лодыжки;
- разрыв межберцового соединения и сложные повреждения связок голеностопного сустава;
- невозможность проведения закрытой ручной репозиции при серьезных травмах;
- застарелые переломы;
- смещение фрагментов заднего нижнего отдела большеберцовой или малоберцовой кости более чем на 1/3 поверхности, сопровождающееся нарушением целостности щиколоток.
Существует несколько типов хирургических вмешательств при травмах лодыжки как со смещением, так и без него:
- Остеосинтез медиальной лодыжки. Эта операция выполняется при супинационных переломах. Медиальная лодыжка фиксируется с помощью двухлопастного гвоздя, установленного под прямым углом, а латеральная лодыжка дополнительно укрепляется штифтом. В некоторых случаях обломки фиксируются винтами.
- Скрепление межберцового соединения. Такие операции проводятся при переломах медиальной щиколотки и малоберцовой кости, а также при других травмах, сопровождающихся разрывом межберцового соединения.
- Остеосинтез фрагментов большеберцовой кости. Эти операции выполняются при травмах большеберцовой кости в задней области нижнего конца.
- Остеосинтез латеральной лодыжки. Показаниями для этой операции являются пронационные переломы.
После завершения хирургического вмешательства конечность фиксируется гипсом, который накладывается так, чтобы обеспечить доступ к послеоперационной ране для дальнейшей обработки. После операции обязательно выполняется контрольная рентгенография. Повторные снимки также проводятся в процессе реабилитации.
Когда проводится реабилитация?
После завершения лечения перелома лодыжки, как со смещением, так и без него, каждому пациенту разрабатывается индивидуальный план реабилитации, направленный на максимальное восстановление утраченных функций.
Пациентам предоставляются следующие рекомендации:
- Лечебная физкультура;
- Массаж;
- Диета, богатая кальцием;
- Физиотерапевтические процедуры: экстракорпоральная ударно-волновая терапия, УВЧ-терапия, ультрафиолетовое облучение, электрофорез с использованием кальциевых препаратов, магнитотерапия, парафиновые и грязевые аппликации, теплые ванночки, инфракрасная лазерная терапия.
Начало применения тех или иных процедур зависит от степени тяжести перелома.
Реабилитация после хирургического вмешательства также включает выполнение лечебных упражнений, набор которых подбирается индивидуально. Кроме того, врач может рекомендовать использование специальной обуви с ортопедическими стельками.
Когда можно наступать на травмированную ногу?
После хирургического вмешательства пациенту строго запрещено вставать на травмированную ногу. Использовать костыли разрешается лишь через 3-4 недели после операции. Иммобилизирующую повязку можно будет снять по истечении 2-3 месяцев её ношения.
Металлические устройства, применяемые для фиксации костных фрагментов, будут удалены только во время повторной операции, которая назначается через 4-6 месяцев после первой.
Своевременное и правильное лечение переломов лодыжки со смещением, а также последующая комплексная реабилитация помогают избежать осложнений и способствуют полному восстановлению утраченных функций конечности.
Осложнения перелома лодыжки со смещением
Перелом лодыжки со смещением может привести к различным осложнениям, которые могут существенно повлиять на процесс восстановления и качество жизни пациента. Одним из наиболее распространенных осложнений является неправильное сращение костей, что может привести к деформации лодыжки и ограничению подвижности. Это состояние может потребовать дополнительного хирургического вмешательства для коррекции.
Еще одним серьезным осложнением является развитие остеоартрита. После перелома хрящевые поверхности суставов могут быть повреждены, что приводит к их износу и воспалению. Остеоартрит может проявляться болями, скованностью и ограничением подвижности в суставе, что значительно ухудшает качество жизни пациента.
Инфекции также могут стать осложнением, особенно если перелом был открыт или если в процессе хирургического вмешательства произошла контаминация. Инфекции могут привести к необходимости длительного лечения антибиотиками, а в некоторых случаях даже к повторным операциям для удаления инфицированных тканей.
Нарушение кровообращения в области лодыжки может стать еще одним осложнением. Это может произойти из-за отека или сдавления сосудов, что может привести к ишемии тканей. В тяжелых случаях это может привести к некрозу (омертвению) тканей, что требует хирургического вмешательства для восстановления кровоснабжения.
Также стоит отметить, что перелом лодыжки со смещением может привести к психоэмоциональным осложнениям. Ограничение подвижности и необходимость длительного восстановления могут вызвать у пациента депрессию, тревожность и стресс. Важно, чтобы медицинская команда учитывала не только физическое, но и психологическое состояние пациента в процессе лечения и реабилитации.
В заключение, осложнения перелома лодыжки со смещением могут быть разнообразными и серьезными. Поэтому важно своевременно обращаться за медицинской помощью, следовать рекомендациям врачей и проходить реабилитацию, чтобы минимизировать риски и обеспечить полноценное восстановление.
Профилактика переломов лодыжки
Профилактика переломов лодыжки является важной задачей, особенно для людей, занимающихся спортом, а также для пожилых людей, у которых риск травм значительно выше. Существует несколько методов, которые могут помочь снизить вероятность получения этой травмы.
1. Укрепление мышц и связок. Регулярные физические упражнения, направленные на укрепление мышц ног и связок, могут значительно снизить риск переломов. Упражнения на баланс, такие как стояние на одной ноге или использование балансировочных платформ, помогают развивать координацию и устойчивость.
2. Правильная обувь. Ношение удобной и подходящей по размеру обуви с хорошей поддержкой свода стопы и амортизацией может предотвратить травмы. Избегайте обуви на высоком каблуке или с узким носком, так как они могут ухудшить баланс и увеличить риск падений.
3. Избегание опасных условий. Будьте внимательны к окружающей среде. Убедитесь, что тротуары и дороги свободны от препятствий, таких как ямы, лужи или лед. При занятиях спортом выбирайте безопасные площадки и избегайте неровных поверхностей.
4. Использование защитного снаряжения. При занятиях спортом, особенно контактными, рекомендуется использовать защитное снаряжение, такое как щитки для ног и специальные бандажи для лодыжек, которые могут помочь предотвратить травмы.
5. Регулярные медицинские осмотры. Пожилым людям и тем, кто имеет предрасположенность к остеопорозу или другим заболеваниям, связанным с костями, следует регулярно проходить медицинские осмотры. Это поможет выявить проблемы на ранней стадии и принять меры для их устранения.
6. Обучение технике падения. Знание правильной техники падения может помочь избежать серьезных травм. Например, при падении старайтесь сгруппироваться и приземлиться на бок, а не на ноги, чтобы снизить нагрузку на суставы.
Соблюдение этих рекомендаций может значительно снизить риск переломов лодыжки и других травм. Важно помнить, что профилактика всегда проще и безопаснее, чем лечение, поэтому стоит уделять внимание своему здоровью и безопасности в повседневной жизни.
Советы по восстановлению после перелома
Восстановление после перелома лодыжки со смещением требует комплексного подхода и терпения. Важно помнить, что каждый случай индивидуален, и процесс реабилитации может варьироваться в зависимости от тяжести травмы, возраста пациента и наличия сопутствующих заболеваний.
Первым шагом на пути к восстановлению является соблюдение рекомендаций врача. После снятия гипса или шины, необходимо постепенно увеличивать физическую активность. Начинать следует с легких упражнений, направленных на восстановление подвижности суставов. Это могут быть простые движения, такие как сгибание и разгибание стопы, а также вращательные движения.
Физиотерапия играет ключевую роль в процессе реабилитации. Специалист может назначить курс процедур, включая ультразвук, электростимуляцию и массаж, которые помогут улучшить кровообращение и ускорить заживление тканей. Также могут быть рекомендованы специальные упражнения для укрепления мышц и улучшения координации.
Важно уделять внимание и питанию. Правильный рацион, богатый кальцием и витамином D, способствует укреплению костей. Включите в свой рацион молочные продукты, рыбу, орехи и зеленые овощи. Также стоит рассмотреть возможность приема добавок, но только после консультации с врачом.
Не забывайте о важности отдыха. Перегрузка травмированной лодыжки может привести к осложнениям и замедлению процесса восстановления. Следите за своим состоянием и при появлении болей или дискомфорта обязательно обращайтесь к врачу.
Психологический аспект также не следует игнорировать. Перелом может стать причиной стресса и тревожности, особенно если он ограничивает вашу активность. Поддержка близких и общение с людьми, которые пережили подобные травмы, могут значительно облегчить процесс восстановления.
В заключение, восстановление после перелома лодыжки со смещением — это длительный процесс, требующий терпения и настойчивости. Следуя рекомендациям специалистов и заботясь о своем здоровье, вы сможете вернуться к привычной жизни и активным занятиям.








