Внематочная беременность — серьезное состояние, требующее внимательной диагностики. В статье рассмотрим ключевые признаки внематочной беременности на ранних сроках и методы диагностики, позволяющие выявить это состояние до и после задержки месячных. Знание симптомов и причин возникновения внематочной беременности поможет женщинам вовремя обратиться за медицинской помощью и избежать осложнений. Также обсудим доступные варианты лечения, что сделает информацию полезной для всех, кто заботится о своем здоровье.
Что такое внематочная беременность?
Внематочная беременность представляет собой аномальное, патологическое состояние, при котором яйцеклетка имплантируется и начинает развиваться вне маточной полости. Хотя вероятность такого случая невелика — примерно два процента — он всё же может произойти.
После перенесённой внематочной беременности шансы на повторное зачатие и успешное вынашивание ребёнка значительно снижаются. Существует высокая вероятность образования спаек, а также риск серьезной потери крови, что делает этот диагноз особенно тревожным для женщин.
Чтобы минимизировать риски, важно знать о типах, причинах возникновения и методах лечения внематочной беременности на ранних стадиях.
https://youtube.com/watch?v=6gQn6Ex56u4
Врачи подчеркивают важность ранней диагностики внематочной беременности, так как это состояние может представлять серьезную угрозу для здоровья женщины. Основные признаки включают боли внизу живота, которые могут быть острыми или тянущими, а также аномальные вагинальные кровотечения. На ранних сроках диагностика может быть затруднена, поэтому специалисты рекомендуют проводить регулярные ультразвуковые исследования и анализы на уровень гормона ХГЧ. При подозрении на внематочную беременность важно немедленно обратиться к врачу, так как своевременное вмешательство может предотвратить осложнения и сохранить репродуктивное здоровье. Врачи акцентируют внимание на том, что каждая женщина должна быть осведомлена о симптомах и не игнорировать их, чтобы минимизировать риски.
Виды внематочной беременности
- Трубная.
Это наиболее распространённый тип внематочной беременности, с которым сталкиваются от 87 до 98 женщин из 100. Оплодотворённая яйцеклетка прикрепляется в фаллопиевой трубе, и по мере роста эмбриона она увеличивается в размерах. Поскольку фаллопиева труба не предназначена для вынашивания плода, слабые сосуды могут разорваться под давлением развивающегося эмбриона. В более лёгком случае может произойти самопроизвольный выкидыш на сроке около 6-8 недель. Более серьёзная ситуация возникает, когда труба разрывается. В обоих случаях женщине требуется срочная медицинская помощь и хирургическое вмешательство.
- Брюшная.
В этом случае оплодотворённая яйцеклетка прикрепляется в брюшной полости. Чаще всего это происходит после экстракорпорального оплодотворения. Существует два типа брюшной внематочной беременности. Первый тип — это когда яйцеклетка имплантируется на сальнике или кишечнике, то есть в забрюшинном пространстве. Второй тип возникает, когда эмбрион попадает в брюшную полость после прикрепления в фаллопиевой трубе и её разрыва.
- Яичниковая.
При этом типе внематочной беременности оплодотворённая яйцеклетка начинает развиваться в полости фолликула. Эта форма внематочной беременности встречается крайне редко. В некоторых случаях женщина может выносить здорового ребёнка, но это скорее исключение, чем правило. Это возможно благодаря упругости и эластичности тканей яичника, что позволяет безболезненно переносить рост эмбриона. Подозрения на внематочную беременность могут не возникнуть, так как, кроме ранних признаков беременности, таких как задержка менструации, женщина может не испытывать никаких других симптомов.
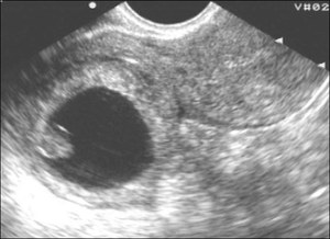
Ранняя диагностика внематочной беременности осуществляется с помощью тщательного ультразвукового исследования, на котором можно увидеть увеличенный яичник и пустую маточную полость.
- Рудиментарная.
В этом случае яйцеклетка имплантируется и развивается в роге матки. Такая беременность обычно заканчивается гибелью плода, так как стенки рудиментарного рога не выдерживают сильного растяжения и разрываются.
| Признак | Описание | Диагностика на раннем сроке |
|---|---|---|
| Боль внизу живота | Односторонняя, острая или тупая, усиливающаяся при движении. Может быть постоянной или приступообразной. | УЗИ органов малого таза (трансвагинальное), анализ крови на ХГЧ. |
| Кровянистые выделения из влагалища | От скудных мажущих до обильных, темно-коричневых или алых. Могут быть нерегулярными. | УЗИ, анализ крови на ХГЧ, гинекологический осмотр. |
| Задержка менструации | Отсутствие ожидаемой менструации, как при обычной беременности. | Тест на беременность (домашний), анализ крови на ХГЧ. |
| Положительный тест на беременность | Тест показывает наличие беременности, но симптомы не соответствуют нормальному развитию. | Анализ крови на ХГЧ (количественный), УЗИ. |
| Головокружение, слабость, обмороки | Могут быть вызваны внутренним кровотечением при разрыве трубы. | Измерение артериального давления, пульса, УЗИ (для оценки наличия свободной жидкости в брюшной полости). |
| Боль при дефекации или мочеиспускании | Редкий симптом, связанный с раздражением брюшины. | Гинекологический осмотр, УЗИ. |
| Низкий уровень ХГЧ для срока беременности | Уровень хорионического гонадотропина человека растет медленнее, чем при нормальной беременности. | Серийные анализы крови на ХГЧ (с интервалом 48 часов). |
| Отсутствие плодного яйца в матке при высоком ХГЧ | При УЗИ плодное яйцо не визуализируется в полости матки, хотя уровень ХГЧ достаточно высок. | Трансвагинальное УЗИ. |
Признаки внематочной беременности
Определить внематочную беременность на ранних сроках может быть довольно сложно. Однако, если внимательно прислушиваться к своему организму, можно заметить некоторые изменения. Всё начинается с задержки менструации — это самый первый и очевидный признак беременности на ранних этапах. Давайте подробнее рассмотрим признаки внематочной беременности при наличии задержки.
- Прежде всего, стоит уточнить, действительно ли это задержка. Уже через несколько дней, в день, когда должны начаться менструации, могут появиться мажущие кровянистые выделения тёмно-красного цвета. Чаще всего такие выделения возникают после задержки. Иногда небольшое кровотечение может наблюдаться после полового акта.
- Боль — один из наиболее заметных признаков на ранних сроках. В начале она может быть терпимой, тянущей, отдающей в поясницу или брюшную полость. Если не обратить на неё внимание, со временем боль может стать резкой и невыносимой.
- Артериальное давление может резко упасть, что может привести к обморокам и потере сознания. Это обычно происходит на шестой-восьмой неделе после предполагаемого зачатия, когда плод начинает активно развиваться. На ранних сроках не рекомендуется принимать сильные обезболивающие препараты, так как это может скрыть истинную причину боли.
- Повышенная температура тела на ранних сроках также может вызывать подозрения.
- При проведении теста на беременность вы можете заметить слишком бледную вторую полоску, несмотря на уверенность в беременности. Это может указывать на низкий уровень ХГЧ для данного срока, что также является признаком внематочной беременности.
- Признаки раннего токсикоза.
- Во время гинекологического осмотра врач может обнаружить такие симптомы, как синюшность половых губ и рыхлую шейку матки.
Подозрение на внематочную беременность часто сопровождается симптомами, схожими с обычной беременностью. К ним относятся тошнота, головокружение, увеличение молочных желёз, изменения в вкусовых предпочтениях, учащённое мочеиспускание и другие. Поэтому диагностика внематочной беременности может быть достаточно сложной.
https://youtube.com/watch?v=TCo3hI85WoM
https://youtube.com/watch?v=OxiudrsSB4g
Причины возникновения
Воспалительные процессы и гнойные инфекции могут привести к нарушению работы фаллопиевых труб и слизистых оболочек, что снижает их способность сокращаться. Это, в свою очередь, уменьшает вероятность продвижения яйцеклетки, и оплодотворённая яйцеклетка может начать развиваться не в матке, а в трубе или в брюшной полости.
Среди факторов, способствующих этому, можно выделить:
- Непроходимость или чрезмерная длина изогнутых фаллопиевых труб.
- Образование опухолей в матке, яичниках или других органах брюшной полости.
- Нарушения гормонального фона в организме.
- Хирургические вмешательства, проведённые ранее и касающиеся органов малого таза.
- Долгосрочное использование внутриматочной спирали, которая может вызвать воспалительные процессы в матке из-за наличия инородного тела.
- Аборты. Чем больше их было, тем выше риск возникновения осложнений, так как это может привести к образованию спаек и воспалению слизистых оболочек.
- Курение. Исследования показывают, что женщины, которые курят, в три раза чаще сталкиваются с внематочной беременностью, поскольку никотин снижает перистальтику труб и активность матки, а также ослабляет общий иммунитет.
- Стрессы, недостаток сна и чрезмерная усталость.
- Генитальный туберкулёз и герпес.
- Возраст старше тридцати пяти лет.
https://youtube.com/watch?v=KIZ7_1pFgZc
Лечение внематочной беременности
Единственным способом лечения данного заболевания является хирургия. Существует два метода выполнения надреза: лапароскопический — с использованием небольших проколов, и лапаротомический — который предполагает рассечение стенки брюшной полости.
При лапароскопическом лечении пациентка находится под общим наркозом. Операция включает три небольших прокола, диаметром не более одного сантиметра, через которые вводятся инструменты. Врач, наблюдая за состоянием маточной трубы на экране, принимает решение о необходимости выполнения туботомии или тубэктомии, то есть разреза или удаления маточной трубы. В случае туботомии труба рассекается для удаления плодного яйца, после чего её зашивают, что позволяет сохранить одну из труб и значительно увеличивает шансы на последующую беременность.
Удаление трубы осуществляется только при наличии уверенности в её необратимых изменениях, полной непроходимости и выраженном спаечном процессе. Преимуществом лапароскопии является отсутствие крупных рубцов и минимальная кровопотеря.
Лапаротомия применяется в крайне редких случаях, когда существует угроза жизни пациентки из-за сильного кровотечения. Операция также выполняется под общим наркозом. Хирург делает разрез на брюшной стенке, вынимает матку ближе к разрезу и зажимает трубу с обеих сторон специальными зажимами. В местах зажима труба перевязывается, а мезосальпинкс прошивается.
Период восстановления после операции является достаточно сложным и требует внимательного наблюдения со стороны врачей. В случае значительной кровопотери назначаются капельницы для восстановления водно-солевого баланса. Для предотвращения воспалительных процессов необходимо принимать антибиотики, а для профилактики образования спаек внутримышечно вводится ферментный препарат лидаза. После операции рекомендуется щадящий режим питания, включающий бульоны и каши.
После перенесенной внематочной беременности важно предохраняться в течение как минимум полугода, чтобы организм успел восстановиться после такого стресса и был готов к новой беременности. Перед планированием беременности назначается лапароскопия, во время которой оценивается, как прошел процесс реабилитации и готовы ли органы к наступлению новой беременности.
https://youtube.com/watch?v=lMhM79ARN8c
https://youtube.com/watch?v=2Cncb7zNAQ8
https://youtube.com/watch?v=etZjkTMZPPo
Как избежать внематочной беременности — профилактические меры и советы от гинекологов
Регулярно посещайте гинеколога для профилактического осмотра, не реже одного раза в полгода.
Следите за своим менструальным циклом, ведите календарь месячных. При любых сбоях, задержках или слишком частых выделениях — незамедлительно обращайтесь к своему врачу.
Своевременно лечите любые заболевания, даже если они кажутся незначительными, и обязательно завершайте курс лечения. Не игнорируйте даже простую простуду, так как женский организм очень чувствителен и непредсказуем.
Серьезно подходите к вопросу беременности: сдайте все необходимые анализы и проконсультируйтесь со специалистами.
Диагностические методы на раннем сроке
Диагностика внематочной беременности на ранних сроках является критически важной для предотвращения серьезных осложнений и сохранения здоровья женщины. Наиболее распространенные методы диагностики включают в себя:
- Тест на беременность: Первым шагом в диагностике внематочной беременности обычно является использование теста на беременность, который определяет уровень гормона хорионического гонадотропина (ХГЧ) в моче или крови. При внематочной беременности уровень ХГЧ может расти медленнее, чем при нормальной беременности.
- Анализ крови на ХГЧ: Более точным методом является анализ крови, который позволяет определить уровень ХГЧ с высокой степенью точности. В нормальной беременности уровень ХГЧ удваивается каждые 48 часов, в то время как при внематочной беременности этот процесс может быть замедлен или уровень может оставаться стабильным.
- Ультразвуковое исследование (УЗИ): УЗИ является важным инструментом для визуализации расположения плода. На ранних сроках беременности трансвагинальное УЗИ может помочь выявить наличие эмбриона в матке или за ее пределами. Если УЗИ не показывает эмбрион в матке при высоком уровне ХГЧ, это может указывать на внематочную беременность.
- Клинический осмотр: Врач может провести физический осмотр, чтобы выявить признаки внематочной беременности, такие как болезненность в области живота или таза, а также наличие кровянистых выделений. Эти симптомы могут указывать на возможные осложнения, такие как разрыв трубы.
- Лапароскопия: В некоторых случаях, если другие методы не дают четкой картины, может потребоваться лапароскопия — минимально инвазивная хирургическая процедура, которая позволяет визуально оценить состояние органов малого таза и подтвердить или опровергнуть диагноз внематочной беременности.
Важно отметить, что ранняя диагностика внематочной беременности позволяет избежать серьезных осложнений, таких как разрыв маточной трубы, что может привести к внутреннему кровотечению и угрожать жизни женщины. Поэтому при подозрении на внематочную беременность необходимо незамедлительно обратиться к врачу для проведения необходимых исследований и получения квалифицированной медицинской помощи.
Последствия внематочной беременности для здоровья женщины
Внематочная беременность представляет собой серьезное состояние, которое может иметь серьезные последствия для здоровья женщины. В отличие от нормальной беременности, которая развивается в полости матки, внематочная беременность происходит вне матки, чаще всего в фаллопиевой трубе. Это может привести к различным осложнениям, которые могут угрожать жизни женщины.
Одним из наиболее опасных последствий внематочной беременности является разрыв фаллопиевой трубы. Это может произойти, если эмбрион продолжает развиваться в трубе, что приводит к ее растяжению и, в конечном итоге, разрыву. Разрыв трубы вызывает внутреннее кровотечение, что может привести к шоку и требует неотложной медицинской помощи. Симптомы разрыва могут включать сильную боль в животе, обморок, головокружение и резкое ухудшение состояния.
Кроме того, внематочная беременность может привести к потере фаллопиевой трубы, что в свою очередь может повлиять на фертильность женщины. Если одна труба была удалена, это не означает, что женщина не сможет забеременеть в будущем, однако вероятность зачатия может снизиться. В некоторых случаях, если внематочная беременность повторяется, это может привести к более серьезным проблемам с фертильностью.
Также стоит отметить, что внематочная беременность может вызвать психологические последствия. Женщины, столкнувшиеся с этой проблемой, могут испытывать чувство утраты, депрессию и тревогу. Важно, чтобы такие женщины получали поддержку не только от медицинских работников, но и от близких людей.
В заключение, внематочная беременность — это состояние, которое требует внимательного отношения и быстрого реагирования. Последствия могут быть серьезными и разнообразными, поэтому важно знать о рисках и признаках этого состояния, чтобы своевременно обратиться за медицинской помощью.
Психологические аспекты и поддержка после внематочной беременности
Внематочная беременность — это не только физическое, но и эмоциональное испытание для женщины. После диагностики и лечения внематочной беременности многие женщины сталкиваются с различными психологическими трудностями, которые могут варьироваться от легкой тревожности до серьезной депрессии. Понимание этих аспектов и наличие поддержки могут сыграть ключевую роль в процессе восстановления.
Одним из наиболее распространенных психологических последствий внематочной беременности является чувство утраты. Женщины могут испытывать горе, связанное с потерей беременности, даже если она была неразвивающейся. Это чувство может быть особенно острым, если женщина долгое время пыталась забеременеть или если в ее жизни уже были случаи потери беременности. Важно признать эти чувства и позволить себе их пережить.
Кроме того, многие женщины могут испытывать чувство вины или стыда, полагая, что они сделали что-то неправильно, что привело к внематочной беременности. Эти эмоции могут быть усилены общественными стереотипами о том, как должна протекать нормальная беременность. Важно понимать, что внематочная беременность — это медицинское состояние, которое не зависит от действий женщины, и что она не должна чувствовать себя виноватой.
Поддержка со стороны близких и профессионалов играет важную роль в процессе восстановления. Общение с партнером, друзьями или членами семьи может помочь женщине выразить свои чувства и получить эмоциональную поддержку. Психотерапия также может быть полезной, особенно если женщина испытывает сильные эмоциональные трудности. Специалист может помочь разобраться в чувствах, предложить стратегии для их преодоления и поддержать в процессе исцеления.
Группы поддержки для женщин, переживших внематочную беременность, могут стать важным ресурсом. Общение с другими женщинами, которые прошли через аналогичный опыт, может помочь снизить чувство изоляции и одиночества. В таких группах можно поделиться своими переживаниями, получить советы и поддержку от тех, кто понимает, через что вы проходите.
Важно также помнить о необходимости заботы о себе в этот период. Физическое здоровье и эмоциональное благополучие взаимосвязаны, поэтому стоит уделять внимание своему состоянию, заниматься физической активностью, правильно питаться и находить время для отдыха. Практики релаксации, такие как йога или медитация, могут помочь справиться со стрессом и тревожностью.
В заключение, внематочная беременность — это сложный и многогранный опыт, который может вызвать широкий спектр эмоций. Признание и понимание этих чувств, а также наличие поддержки со стороны близких и профессионалов могут значительно облегчить процесс восстановления и помочь женщине вернуться к нормальной жизни.






