Цитологическое исследование мазков шейки матки — важный метод диагностики предраковых изменений и рака на ранних стадиях у женщин. В статье рассмотрим процесс проведения процедуры, ее результаты и их расшифровку. Также обсудим показания для цитологического обследования и особенности выполнения у беременных. Понимание этих аспектов поможет читателям осознанно подходить к своему здоровью и своевременно проходить обследования.
Обследование на цитологию
Мазок на цитологию позволяет обнаружить пять типов клеточных изменений в тканях шейки матки у женщин. Это исследование обеспечивает надежные результаты и имеет доступную стоимость для пациенток. Врачи настоятельно рекомендуют проходить мазок всем женщинам в возрасте от 20 до 60 лет ежегодно.
Цитологическое исследование шейки матки представляет собой анализ клеток с использованием специального оборудования для определения их нормальной структуры. Для этого из влагалища и канала шейки матки берутся образцы. Данный метод позволяет выявить наличие воспалительных процессов, вирусов или онкологических заболеваний в репродуктивных органах. Цитологическое исследование – это неинвазивный диагностический метод, при котором для получения образца не требуется биопсия и не происходит повреждения тканей. Материал для анализа извлекается с помощью мазка или отпечатка.
Для достижения точных результатов необходимо строго следовать рекомендациям по подготовке к анализу. Обычно на выполнение анализа уходит не более суток. В случае обнаружения атипичных клеток или признаков онкологии может быть назначена биопсия для уточнения диагноза. Цитологический анализ играет важную роль в обследовании групп женщин или в случаях, когда инвазивные методы противопоказаны.
Врачи подчеркивают важность цитологического исследования мазков шейки матки как одного из ключевых методов ранней диагностики предраковых состояний и рака шейки матки. Регулярные обследования позволяют выявить аномальные клетки на ранних стадиях, что значительно увеличивает шансы на успешное лечение. Специалисты отмечают, что данное исследование является безопасным и неинвазивным, что делает его доступным для большинства женщин. Кроме того, врачи рекомендуют проводить такие исследования не реже одного раза в три года, начиная с 21 года. Это поможет не только сохранить здоровье, но и повысить осведомленность женщин о важности профилактики и своевременного обращения к специалистам.
https://youtube.com/watch?v=CNbmSWEbh3M
Что показывает анализ на цитологию
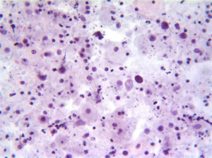
Материал для исследования анализируют с помощью микроскопа. Результаты цитологического анализа позволяют оценить состояние микрофлоры пациентки, включая показатели лейкоцитов, эритроцитов, а также плоских и цилиндрических клеток. Если все показатели находятся в пределах нормы, анализ считается отрицательным. Однако при обнаружении атипичных клеток проводится оценка на наличие дисплазии (предраковое состояние или онкологический процесс).
Если в плоском или цилиндрическом эпителии выявлены признаки перерождения, рекомендуется провести повторный анализ через 2 месяца. Обнаружение атипии требует незамедлительного повторного анализа для подтверждения или исключения онкологического заболевания. В таких случаях также могут быть предложены дополнительные методы диагностики для получения более точных результатов.
| Параметр исследования | Описание | Клиническое значение |
|---|---|---|
| Тип мазка | Традиционный (на стекле) или жидкостный (в специальной среде) | Влияет на качество образца и возможность дополнительных тестов |
| Адекватность образца | Наличие достаточного количества эпителиальных клеток и клеток зоны трансформации | Неадекватный образец требует повторного исследования |
| Цитологическая картина | Описание клеточного состава (нормальные клетки, воспаление, атипия) | Основа для постановки диагноза и определения дальнейшей тактики |
| Наличие воспаления | Присутствие лейкоцитов, микроорганизмов, признаков инфекции | Может указывать на цервицит, вагинит, требует лечения |
| Атипичные клетки плоского эпителия (ASC) | Клетки с изменениями, не достигающими критериев дисплазии | Требует дальнейшего наблюдения или кольпоскопии |
| Дисплазия легкой степени (LSIL/CIN1) | Легкие предраковые изменения эпителия | Часто регрессирует самостоятельно, но требует наблюдения |
| Дисплазия средней/тяжелой степени (HSIL/CIN2/CIN3) | Значительные предраковые изменения, высокий риск прогрессии в рак | Требует лечения (конизация, эксцизия) |
| Аденокарцинома in situ (AIS) | Предраковое поражение железистого эпителия | Требует хирургического лечения |
| Инвазивный рак | Злокачественное новообразование, прорастающее в подлежащие ткани | Требует комплексного онкологического лечения |
| Наличие ВПЧ | Выявление вируса папилломы человека (высокого онкогенного риска) | Важный фактор риска развития рака шейки матки |
Кому показана процедура
Цитологическое исследование соскоба шейки матки является одним из самых оперативных методов диагностики. Этот анализ позволяет получить точные результаты и способствует сохранению здоровья женщин, а в некоторых ситуациях может даже спасти жизнь.
Рекомендуется проводить анализ на цитологию в следующих случаях:
· наличие аномальных клеток;
· выявление патогенных микроорганизмов на слизистой оболочке шейки матки;
· нарушения менструального цикла, продолжающиеся полгода и более;
· появление кровянистых выделений в середине менструального цикла;
· обнаружение вируса папилломы или герпеса;
· проблемы с зачатием;
· различные виды эрозий;
· проведение гормональной терапии у женщины;
· кровотечения после или во время половых актов.
Цитологическое исследование также назначается в профилактических целях в следующих ситуациях:
- ранняя беременность;
- ежегодные роды;
- запланированная беременность;
- случайные половые связи без использования средств контрацепции;
- приближающийся климакс;
- желание женщины установить внутриматочную спираль;
- выявленные нарушения на слизистой оболочке шейки матки при осмотре;
- наличие ВИЧ-инфекции;
- наличие родственников с онкологическими заболеваниями репродуктивной системы.
Повторное проведение анализа рекомендуется в случае обнаружения отклонений от нормы при первом исследовании. У пациенток младше 16 лет анализ проводится только в присутствии родителей.
https://youtube.com/watch?v=Hf8ItuxEAAs
Правила подготовки к анализу
Чтобы достичь точного результата, за два дня до процедуры следует соблюдать следующие рекомендации:
- не проводить спринцевание;
- воздержаться от половых контактов;
- исключить использование вагинальных свечей и других препаратов;
- за два часа до анализа не рекомендуется мочиться.
Существуют и противопоказания для проведения процедуры:
- обострение воспалительных заболеваний;
- менструация;
- наличие зуда и выделений.
Соблюдение этих рекомендаций поможет получить надежный результат анализа.
Как выполняется соскоб из влагалища
Процедура не требует госпитализации. Забор анализа осуществляется амбулаторно в гинекологическом кресле и проходит совершенно безболезненно.
Для получения образца используются следующие инструменты:
- лопатка;
- ложечка;
- шпатель;
- зонд.
В ходе исследования берется небольшое количество клеток из области канала, свода и шейки матки с внешней стороны. Рекомендуется также взять мазок из цервикального канала с помощью специальной щеточки. Перед забором образца необходимо удалить выделения из матки с помощью ватного тампона. Вся процедура занимает не более 15 минут.
После этого образец помещается на стекло и отправляется в лабораторию для анализа. Обязательно производится маркировка. Лаборатория принимает стекло с образцом и сопроводительный бланк, на котором указана следующая информация:
-
Номер на стекле должен совпадать с номером на бланке;
-
Название учреждения, где проводилась процедура;
-
Дата выполнения процедуры;
-
ФИО пациентки;
-
Возраст;
-
Дата последней менструации;
-
Предполагаемый диагноз.
Чаще всего анализ мазка выполняется методом высушивания или окрашивания по Папаниколау, но существуют и другие методы исследования.
После завершения процедуры женщина может продолжать свои дела. Неприятные ощущения отсутствуют, так как инструменты не повреждают ткани. В редких случаях может быть задет небольшой кровеносный сосуд, что приведет к появлению кровянистых прожилок в течение нескольких дней после процедуры. Однако это не должно вызывать беспокойства.
Как расшифровывается результат
Методика Папаниколау позволяет точно интерпретировать результаты анализа. Этот подход делит состояние клеток слизистой шейки матки на пять уровней:
-
Атипичные клетки отсутствуют. Повторное исследование можно провести через несколько лет.
-
Обнаружение воспалительных процессов в шейке матки или соседних органах. Рекомендуется пройти повторное обследование.
-
Выявление дисплазии или гиперплазии – в клеточных ядрах фиксируются незначительные изменения.
-
Обнаружение раковых клеток.
-
Существенные изменения в клетках, указывающие на злокачественный процесс.
Цитологическое исследование считается наиболее надежным методом диагностики, особенно если выполнен мазок из шейки матки.
Анализ на цитологию у беременной
Во время беременности гормональный баланс женщины претерпевает значительные изменения, что также затрагивает микрофлору влагалища. В этот период защитные функции организма ослаблены, что делает женщину более уязвимой к различным воспалительным процессам. Цитологическое исследование помогает выявить изменения в микрофлоре, определить стадию воспаления и оценить состояние клеток. Если беременность протекает без осложнений, мазок берется трижды:
- при первичном обращении для постановки на учет;
- при оформлении обменной карты;
- на 36-й неделе для оценки готовности к родам.
Пациентка имеет право отказаться от проведения данного обследования. Однако важно помнить, что микрофлора влагалища может содержать микроорганизмы, способные негативно повлиять на здоровье ребенка. Таким образом, отказ от анализа может привести к риску для малыша. Если результаты анализа показывают наличие патогенных микроорганизмов или повышенное количество лейкоцитов, женщине может потребоваться госпитализация в отделение патологии.
Цитологическое исследование является важным диагностическим методом, который позволяет получить точные результаты и своевременно выявить возможные проблемы в репродуктивной системе женщины. Игнорировать рекомендации врача по проведению анализа не следует, так как это напрямую влияет на здоровье и качество жизни будущей мамы.
https://youtube.com/watch?v=ayR6Ccw-Em8
Частота проведения цитологического исследования
Цитологическое исследование мазков шейки матки, также известное как Пап-тест, является важным инструментом в профилактике и ранней диагностике рака шейки матки. Частота проведения этого исследования варьируется в зависимости от ряда факторов, включая возраст, наличие факторов риска и рекомендации медицинских организаций.
Согласно рекомендациям Всемирной организации здравоохранения (ВОЗ) и других медицинских ассоциаций, женщинам в возрасте от 21 до 29 лет рекомендуется проходить цитологическое исследование каждые три года. Для женщин в возрасте от 30 до 65 лет рекомендуется комбинированное тестирование на наличие вируса папилломы человека (ВПЧ) и цитологическое исследование, которое можно проводить каждые пять лет, если результаты обоих тестов отрицательные.
Важно отметить, что женщины старше 65 лет, которые имели нормальные результаты тестов в течение последних десяти лет, могут прекратить регулярные обследования. Однако, если у женщины есть факторы риска, такие как наличие предшествующих аномальных результатов или история рака шейки матки, частота обследований может быть увеличена по рекомендации врача.
Кроме того, женщины, которые имеют ослабленный иммунитет, например, из-за ВИЧ-инфекции или после трансплантации органов, должны проходить тестирование чаще. В таких случаях рекомендуется проводить цитологическое исследование ежегодно.
Существуют также рекомендации по проведению тестирования для женщин, которые начали сексуальную жизнь в раннем возрасте или имеют множество половых партнеров. Эти группы женщин могут быть более подвержены риску инфекций, передающихся половым путем, и, следовательно, им может потребоваться более частое обследование.
В заключение, частота проведения цитологического исследования мазков шейки матки зависит от возраста, состояния здоровья и индивидуальных факторов риска. Регулярные обследования являются ключевым элементом в профилактике рака шейки матки и должны проводиться в соответствии с рекомендациями медицинских специалистов.
Возможные осложнения и риски процедуры
Цитологическое исследование мазков шейки матки, несмотря на свою высокую информативность и важность для ранней диагностики предраковых и раковых заболеваний, может сопровождаться определенными осложнениями и рисками. Эти аспекты следует учитывать как медицинским работникам, так и пациентам.
Одним из наиболее распространенных осложнений является дискомфорт или боль во время процедуры. Хотя большинство женщин сообщают о минимальных неприятных ощущениях, некоторые могут испытывать более выраженные болевые ощущения, особенно если у них есть воспалительные процессы или другие патологии шейки матки.
Также существует риск возникновения кровотечений после забора мазка. Обычно такие кровотечения незначительны и быстро прекращаются, однако в редких случаях могут потребоваться дополнительные медицинские вмешательства, если кровотечение становится обильным или длительным.
Инфекционные осложнения, хотя и встречаются редко, также возможны. Процедура забора мазка может привести к заносу инфекции в половые пути, особенно если не соблюдаются правила асептики и антисептики. Это подчеркивает важность проведения исследования в условиях, соответствующих медицинским стандартам.
Кроме того, у некоторых женщин может наблюдаться аллергическая реакция на используемые в процессе исследования материалы, такие как смазки или антисептики. Это может проявляться в виде зуда, покраснения или отека в области влагалища или шейки матки.
Важно отметить, что хотя риск серьезных осложнений минимален, женщины, проходящие процедуру, должны быть информированы о возможных последствиях. Врач должен обсудить с пациенткой все риски и ответить на возникающие вопросы, чтобы обеспечить максимальный комфорт и уверенность в процессе.
Наконец, следует учитывать, что результаты цитологического исследования могут привести к необходимости дополнительных обследований или процедур, таких как колпоскопия или биопсия, что также может вызывать у пациенток стресс и беспокойство. Поэтому важно, чтобы медицинский персонал предоставлял полную информацию о всех этапах диагностики и возможных последствиях.
Современные методы и технологии в цитологии
Цитологическое исследование мазков шейки матки является важным инструментом в диагностике предраковых и раковых заболеваний. Современные методы и технологии, используемые в цитологии, значительно повысили точность и эффективность диагностики, а также улучшили качество получаемых результатов.
Одним из наиболее распространенных методов является метод Папаниколау (Пап-тест), который позволяет выявлять аномальные клетки в мазках. Этот метод включает в себя окраску клеток специальными красителями, что позволяет визуализировать их структуру и выявлять изменения, характерные для дисплазии или рака. В последние годы разработаны усовершенствованные варианты этого метода, такие как жидкостная цитология, которая обеспечивает более высокую чувствительность и специфичность за счет равномерного распределения клеток в образце.
Жидкостная цитология позволяет избежать проблем, связанных с традиционным методом, такими как потеря клеток при переносе образца на предметное стекло. В этом методе мазок помещается в специальный раствор, который сохраняет клетки и позволяет проводить их дальнейшую обработку и анализ. Это также упрощает процесс подготовки образца и снижает вероятность ошибок при интерпретации результатов.
Современные технологии также включают использование автоматизированных систем для анализа мазков. Эти системы используют алгоритмы машинного обучения и искусственного интеллекта для распознавания аномальных клеток, что значительно ускоряет процесс диагностики и снижает нагрузку на специалистов. Такие технологии позволяют повысить точность диагностики, минимизируя человеческий фактор и обеспечивая более объективные результаты.
Кроме того, в последние годы активно развиваются молекулярно-генетические методы, которые позволяют выявлять специфические маркеры, связанные с вирусом папилломы человека (ВПЧ), а также другими онкогенами. Эти методы могут быть использованы в сочетании с цитологическим исследованием для более точной оценки риска развития рака шейки матки. Например, тестирование на наличие ВПЧ может помочь определить, какие пациентки нуждаются в более тщательном наблюдении и дополнительной диагностике.
Важно отметить, что современные методы и технологии в цитологии не только повышают точность диагностики, но и способствуют более раннему выявлению заболеваний, что в свою очередь увеличивает шансы на успешное лечение. Регулярные скрининговые программы, основанные на использовании этих методов, играют ключевую роль в снижении заболеваемости и смертности от рака шейки матки.
Таким образом, современные достижения в области цитологии, включая усовершенствованные методы подготовки образцов, автоматизированные системы анализа и молекулярно-генетические технологии, значительно расширяют возможности диагностики и позволяют более эффективно бороться с заболеваниями шейки матки.






