Перелом лучевой кости со смещением — распространенная травма, особенно среди спортсменов и людей, подверженных падениям. Этот перелом требует тщательной диагностики и лечения, так как неправильное восстановление может вызвать серьезные осложнения и ограничить функцию руки. В статье рассмотрим основные виды переломов лучевой кости со смещением, их причины и современные методы лечения, что поможет читателям лучше понять эту травму и необходимые меры для эффективного восстановления.
Определение
Основным фактором, способствующим возникновению перелома лучевой кости в типичном месте, эксперты считают наличие рядом с суставом множества связок и мышц. Эти структуры обеспечивают эластичность сустава, однако при резком ударе сила воздействия передается на ближайшую кость. К сожалению, кость не обладает достаточной гибкостью, что и приводит к переломам лучезапястной кости.
Независимо от причины, вызвавшей перелом, врач при обследовании должен обратить внимание на расположение костных фрагментов после травмы. Это важно для выбора правильной стратегии лечения и реабилитации после перелома лучевой кости со смещением:
- Если диагностика показывает, что смещения костей не произошло, то разрушенные участки будут находиться близко друг к другу. В таком случае лечение обычно заключается в их сближении и фиксации с помощью гипсовой повязки, что способствует правильному и быстрому заживлению.
- Более сложной является ситуация с переломом лучевой кости со смещением. В этом случае не всегда удается сблизить отломки. Врач может принять решение о проведении хирургической операции для их соединения, используя специальные стержни, винты или скобы. Однако такое вмешательство требует не только наложения гипсовой повязки, но и проведения курсов реабилитации после перелома лучевой кости со смещением, которые включают специальные упражнения для укрепления поврежденной области и массаж. Это необходимо для восстановления силы руки.
На основе механизма травмы специалисты выделяют несколько типов повреждений, которые зависят от положения кисти в момент удара.
Врачи отмечают, что перелом лучевой кости со смещением является одной из наиболее распространенных травм, особенно среди людей, занимающихся спортом или подвергающихся риску падений. Специалисты подчеркивают важность своевременной диагностики и адекватного лечения, так как неправильное сращение кости может привести к долгосрочным осложнениям, включая ограничение подвижности и хроническую боль. Врачи рекомендуют проводить рентгенографию для точного определения характера перелома и его смещения. В большинстве случаев требуется хирургическое вмешательство для восстановления правильного положения кости. После операции необходима реабилитация, включающая физиотерапию, что способствует быстрому восстановлению функции руки. Важно, чтобы пациенты следовали рекомендациям врачей и не игнорировали симптомы, чтобы избежать серьезных последствий.
https://youtube.com/watch?v=0NH71vCgY6U
Перелом Коллеса
Данная травма является наиболее часто встречающейся. Это связано с тем, как располагаются конечности во время падения. Когда человек теряет равновесие, он инстинктивно пытается упасть на ладони. В результате срабатывает защитный рефлекс, позволяющий немного смягчить удар. Врачи классифицируют перелом Коллеса как разгибательный:
- При резком переносе веса тела на лучезапястный сустав, он значительно отклоняется назад.
- В такой ситуации человек стремится вернуть конечность в исходное положение, что приводит к быстрому сокращению мышц-сгибателей предплечья.
- Мягкие ткани, обладающие высокой эластичностью, легко справляются с возникающим давлением. Однако под нагрузкой они могут испытывать небольшие разрывы и растяжения.
- К сожалению, костная ткань не обладает такой же прочностью на разрыв, и это может привести к серьезным последствиям. Она должна одновременно противостоять силе тяжести тела и нагрузкам со стороны мышц и связок, которые тянут её к себе.
- Если костная ткань не выдерживает такого давления, то происходит перелом прямо над запястьем, при этом угол между отломками оказывается направленным назад.
| Аспект | Описание | Важность |
|---|---|---|
| Определение | Перелом дистального отдела лучевой кости (ближе к запястью) с нарушением анатомического положения отломков. | Высокая, определяет тактику лечения и прогноз. |
| Причины | Падение на вытянутую руку, прямой удар по предплечью. | Средняя, помогает в профилактике и понимании механизма травмы. |
| Симптомы | Острая боль, отек, деформация запястья (штыкообразная или вилкообразная), ограничение движений, крепитация. | Высокая, для своевременной диагностики и обращения к врачу. |
| Диагностика | Клинический осмотр, рентгенография в двух проекциях, КТ (при сложных случаях). | Высокая, для точного определения типа перелома и степени смещения. |
| Классификация | По типу перелома (внутрисуставной/внесуставной), по направлению смещения (дорсальное/волярное), по степени фрагментации. | Высокая, влияет на выбор метода лечения. |
| Первая помощь | Иммобилизация (шина, повязка), холод на место травмы, обезболивание. | Высокая, для уменьшения боли и предотвращения дальнейшего смещения. |
| Лечение | Консервативное: репозиция (закрытое вправление) и иммобилизация гипсовой повязкой. Оперативное: открытая репозиция с внутренней фиксацией (пластины, винты, спицы). | Высокая, выбор метода зависит от типа перелома, степени смещения и возраста пациента. |
| Осложнения | Неправильное сращение, несращение, тугоподвижность сустава, повреждение нервов/сосудов, посттравматический артроз. | Высокая, для понимания потенциальных рисков и необходимости реабилитации. |
| Реабилитация | Лечебная физкультура, физиотерапия, массаж для восстановления функции кисти и запястья. | Высокая, для полного восстановления после травмы и предотвращения осложнений. |
| Прогноз | В большинстве случаев благоприятный при своевременном и адекватном лечении. | Средняя, для информирования пациента о перспективах восстановления. |
Перелом Смита
Такого рода травма обычно возникает из-за неосторожности, когда человек по своей невнимательности падает на землю. В таких случаях предплечье и кисть могут оказаться под телом, резко сгибаясь при ударе. В результате этого может произойти перелом Смита, который характеризуется механизмом повреждения, связанным с сгибанием, и требует наложения гипсовой повязки.
- На эту область тела оказывается такое сильное давление, что она фактически вдавливается и сильно прижимается к передней части предплечья.
- Связки, отвечающие за сгибание, обладают большей эластичностью, что позволяет им предотвращать разрушение костной ткани. При таких нагрузках они сильно растягиваются, что исключает возникновение патологической амплитуды движений.
- Однако в этом случае травмирующие факторы начинают действовать иначе. Давление возникает не в продольном, а в поперечном направлении.
- Для того чтобы произошел перелом лучевой кости с смещением, необходимо, чтобы мышцы, стремящиеся вернуть отломки на место, резко сокращались. Именно поэтому смещение всегда происходит под углом вперед, в направлении сгибания кисти.
Со временем травма может проявить себя в процессе восстановления. Однако сложности могут возникнуть только в случае, если в лечении были допущены серьезные ошибки. Это может привести к негативным последствиям для здоровья, даже при использовании гипсовой повязки, и вызвать значительные изменения в мышцах и связках. Поэтому не стоит надеяться, что сустав срастется правильно без наложения повязки.
https://youtube.com/watch?v=wZXvZKQULD4
Лечение
Независимо от типа полученной травмы, важно проводить лечение, следуя четкому и последовательному плану действий. Это обеспечит оптимальные условия для быстрого и правильного срастания кости. Чтобы избежать осложнений и выполнить все правильно, следует придерживаться следующего алгоритма:
- Первым шагом в терапии перелома лучезапястного сустава со смещением является обезболивание, которое поможет снизить болевые ощущения. Это также уменьшит спазм мышц, мешающих правильному соединению отломков.
- После завершения подготовки к операции следует перейти к следующему этапу — вправлению перелома. Важно понимать механизм травмы, так как манипуляции, проводимые в процессе лечения, должны быть направлены на восстановление нормального положения костей.
- Если врачу удалось успешно совместить отломки, то далее начинается консервативное лечение. Пациенту необходимо в течение нескольких недель носить гипсовую повязку, которая зафиксирует конечность в неподвижном состоянии.
- Если ни один из методов не помог устранить смещение, врач принимает решение о хирургическом вмешательстве. В месте повреждения кости она будет надежно зафиксирована с помощью специальных металлических элементов.
Этап реабилитации после перелома лучевой кости руки можно начинать уже в ранний период после травмы. Это поможет предотвратить атрофию мышц предплечья и кисти. Для решения этой задачи применяется комплекс мероприятий, основными из которых являются лечебные упражнения, массаж и физиотерапевтические процедуры.
Реабилитация
Независимо от степени перелома лучевой кости, организм всегда испытывает стресс и активирует все ресурсы для восстановления подвижности.
Для успешного выполнения этой задачи ему требуется больше питательных веществ и энергии, чем обычно. Поэтому врачи рекомендуют пациентам придерживаться специальной диеты, которая должна включать следующие продукты:
- Красное мясо. Этот продукт является источником белков и витаминов, необходимых для улучшения процессов регенерации тканей. Обеспечив организм достаточным количеством этих элементов, можно положительно повлиять на работу иммунной системы, которая отвечает за удаление поврежденных тканей в области перелома.
- Молочные продукты. Они содержат важные для организма компоненты, такие как кальций и фосфор. Эти элементы необходимы пациентам с переломом лучевой кости для ускорения формирования костной мозоли. Специалисты рекомендуют чаще включать в рацион кефир, творог и сметану, так как минералы из этих продуктов лучше усваиваются организмом.
- Для обеспечения организма необходимыми биологически активными веществами и витаминами важно увеличить количество овощей и витаминов в рационе больного. Овощи богаты антиоксидантами, которые способствуют ускорению роста поврежденных тканей.
Также стоит отметить, что правильное питание играет ключевую роль в процессе восстановления при лечении любых заболеваний. Оно помогает обеспечить организм необходимыми строительными материалами, которые важны для выздоровления. Это позволяет надеяться на то, что рука будет срастаться без серьезных осложнений и не будет причинять боли.
https://youtube.com/watch?v=RrnEHifhnzc
Упражнения
После успешного завершения лечения перелома лучевой кости начинается процесс реабилитации, который обязательно должен включать лечебную физкультуру (ЛФК). Без выполнения этих упражнений трудно ожидать, что рука срастется правильно и не будет беспокоить. Упражнения помогают поддерживать нормальный мышечный тонус и улучшают обменные процессы в области травмы. В целом, программа реабилитации состоит из нескольких этапов:
- В первые две недели после завершения лечения пациенту разрешены только изометрические упражнения. Это связано с тем, что они не требуют активных движений в суставах. Упражнения заключаются в напряжении и расслаблении мышц плечевого пояса. Рекомендуется выполнять их два-три раза в день для поддержания мышц в тонусе.
- На втором этапе начинаются активные тренировки, которые сосредоточены на работе суставов кисти. В этом этапе выполняются последовательные сжатия руки в кулак и ее разгибания.
- Переходя к третьему этапу, в программу добавляются упражнения для локтевого сустава, которые включают постепенные сгибания и разгибания. Важно помнить, что здесь не следует выполнять движения, имитирующие поворот ключа.
- Этот этап можно начинать не ранее чем через 6 недель после завершения лечения. Он включает тренировки с резиновым мячиком и жгутом, которые создают дополнительное сопротивление и помогают укрепить поврежденные суставы.
- На следующем этапе выполняются вращательные движения в области предплечья. Однако следует быть предельно осторожным, так как это может вызвать дискомфорт.
Заключение
К сожалению, не все кости в человеческом организме обладают достаточной прочностью.
Перелом лучевой кости считается одной из наиболее распространенных травм, с которыми пациенты обращаются к врачам. Это может произойти из-за неправильной оценки нагрузки или по неосторожности. В таких случаях помощь может оказать только квалифицированный специалист. Мало кто из нас знает, как правильно действовать в подобных ситуациях и насколько серьезными могут быть последствия неправильно сросшегося перелома лучевой кости со смещением, если гипсовая повязка наложена неверно.
Первым шагом, который должен предпринять врач на приеме, является оценка характера травмы и определение наиболее эффективной стратегии лечения на основе результатов обследования. Именно после диагностики станет ясно, возможно ли ограничиться консервативным методом или же потребуется хирургическое вмешательство для помощи пациенту. Поэтому, если у вас возникли боли в руке после перелома лучевой кости, не стоит заниматься самолечением. Неправильное наложение гипсовой повязки может привести к серьезным осложнениям, особенно без последующей лечебной физкультуры.
Причины перелома
Перелом лучевой кости со смещением может произойти по различным причинам, которые в основном связаны с механическими воздействиями на руку. Наиболее распространенные причины включают:
- Травмы при падении: Одной из самых частых причин перелома лучевой кости является падение на вытянутую руку. При этом нагрузка на кость может превышать ее прочность, что приводит к перелому.
- Спортивные травмы: Виды спорта, такие как футбол, хоккей или гимнастика, могут привести к травмам, в том числе к переломам, из-за резких движений, столкновений или падений.
- Дорожно-транспортные происшествия: В результате аварий, особенно при столкновении, может произойти сильный удар по руке, что также может привести к перелому.
- Возрастные изменения: У пожилых людей кости становятся более хрупкими из-за остеопороза, что увеличивает риск переломов даже при незначительных травмах или падениях.
- Патологические состояния: Некоторые заболевания, такие как рак или инфекционные процессы, могут ослаблять кости, делая их более подверженными переломам даже при минимальных нагрузках.
Важно отметить, что переломы со смещением происходят, когда фрагменты кости смещаются относительно друг друга. Это может быть вызвано сильным ударом или неправильным положением руки во время травмы. Смещение может усложнить процесс лечения и восстановление, так как требует более сложных методов медицинского вмешательства, таких как хирургическое исправление положения костей.
Понимание причин перелома лучевой кости со смещением позволяет не только предотвратить травмы, но и разработать эффективные стратегии лечения и реабилитации для пострадавших.
Симптомы и диагностика
Перелом лучевой кости со смещением характеризуется рядом специфических симптомов, которые могут варьироваться в зависимости от степени травмы и индивидуальных особенностей пациента. Основные симптомы включают:
- Боль: Острая, интенсивная боль в области запястья или предплечья, которая усиливается при попытке движения или нажатия на поврежденную область.
- Отек: Вокруг места перелома может наблюдаться отек, который возникает в результате воспалительной реакции организма на травму.
- Деформация: Внешний вид конечности может изменяться, что проявляется в виде видимого искривления или неправильного положения руки.
- Ограничение подвижности: Пациент может испытывать трудности при попытке двигать рукой или запястьем, что связано с болью и повреждением тканей.
- Крепитация: При пальпации может ощущаться хруст или треск, что указывает на наличие поврежденных костных фрагментов.
Для диагностики перелома лучевой кости со смещением используются различные методы:
- Физикальное обследование: Врач проводит осмотр и пальпацию поврежденной области, оценивая степень боли, отека и деформации.
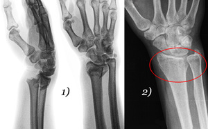
- Рентгенография: Основным методом диагностики является рентгенография, которая позволяет визуализировать перелом и определить его тип, а также наличие смещения костных фрагментов.
- Компьютерная томография (КТ): В некоторых случаях, особенно при сложных переломах, может потребоваться КТ для более детального изучения повреждений.
- Магнитно-резонансная томография (МРТ): Этот метод может быть использован для оценки состояния мягких тканей, таких как связки и сухожилия, которые могут быть повреждены при переломе.
Важно отметить, что своевременная диагностика и правильная интерпретация симптомов играют ключевую роль в выборе адекватного метода лечения и восстановлении функции конечности.
Осложнения и прогноз
Перелом лучевой кости со смещением может привести к различным осложнениям, которые могут значительно повлиять на функциональность конечности и качество жизни пациента. Одним из наиболее распространенных осложнений является неправильное сращение кости, которое может произойти, если фрагменты кости не были правильно выровнены или зафиксированы. Это может привести к деформации конечности и ограничению подвижности.
Другим возможным осложнением является развитие посттравматического остеоартрита, который может возникнуть из-за повреждения суставного хряща в области перелома. Это состояние может вызвать хроническую боль и ограничение движений в запястье, что негативно сказывается на повседневной активности пациента.
Инфекционные осложнения также могут возникнуть, особенно если перелом был открыт или если была проведена операция для его коррекции. Инфекция может привести к задержке заживления и необходимости в дополнительном лечении, включая антибиотикотерапию или повторные хирургические вмешательства.
Нарушение кровоснабжения может стать еще одним осложнением, особенно в случае серьезных травм. Это может привести к некрозу тканей и необходимости в более радикальных мерах, таких как ампутация.
Прогноз при переломе лучевой кости со смещением зависит от нескольких факторов, включая возраст пациента, общее состояние здоровья, степень смещения и качество оказанной медицинской помощи. В большинстве случаев, при правильном лечении, пациенты могут ожидать полного восстановления функции конечности. Однако, в некоторых случаях, особенно у пожилых людей или при наличии сопутствующих заболеваний, восстановление может занять больше времени и не всегда приводить к полному восстановлению.
Важно отметить, что ранняя диагностика и адекватное лечение играют ключевую роль в снижении риска осложнений и улучшении прогноза. Регулярные контрольные осмотры и реабилитационные мероприятия также способствуют более быстрому восстановлению и минимизации долгосрочных последствий травмы.







