Неспецифический брыжеечный лимфаденит (I88.0)
Мезаденит – это воспалительное заболевание лимфатических узлов, расположенных в брыжейке кишечника.
Выделяют следующие формы данного заболевания:
- Неспецифический мезаденит, который может быть простым и гнойным;
- Псевдотуберкулезный мезаденит;
- Туберкулезный мезаденит
По клиническому течению выделяют:
- Острый мезаденит;
- Хронический мезаденит
Этиология. Причиной неспецифического воспаления мезентериальных лимфоузлов являются бактерии (стафилококк, стрептококк, энтерококк, кишечная палочка) и их токсины.
Патогенез. Бактерии и их токсины поступают в организм энтерогенным путем.
Из пищевого канала в мезентериальные лимфоузлы они проникают через слизистую оболочку кишки при условии нарушения ее целостности такими патологическими состояниями, как дизентерия, энтероколиты, пищевая токсикоинфекция, гельминтозы.
Известно, что в конечном отделе подвздошной кишки чаще, чем в других ее сегментах, отмечаются стазы, механические повреждения слизистой оболочки, медленный пассаж пищевых масс. Это ведет к возникновению катаральных состояний, способствующих проникновению инфекции в мезентериальные лимфоузлы.
Нередко в подвздошную кишку происходит обратный заброс содержимого толстой кишки вследствие несовершенства илеоцекального клапана, что приводит к аутоинфекции и аутоинтоксикации. Этим объясняют более частое поражение лимфоузлов илеоцекальной группы и конечной части подвздошной кишки.
Патоморфология. Средние размеры неизменных лимфатических узлов колеблются от 0,4 до 1 см. При остром неспецифическом мезадените размеры лимфоузлов заметно увеличиваются.
В них появляются характерные патоморфологические изменения: расширение синусов, сопровождаемое простым или гнойным катаром; десквамация эндотелия, инфильтрация его лейкоцитами; гиперплазия фолликулов и мякотных тяжей.
При хроническом воспалительном процессе ткань лимфоузлов подвергается склеротическим и атрофическим изменениям.
Неспецифический мезентериальный лимфаденит является частым заболеванием у детей, подростков и молодых людей. Он составляет примерно 10 % от общего числа острых хирургических заболеваний; в 2 раза чаще болеют девочки; преобладают лица астенической конституции и пониженного питания.
Как правило, заболевание носит острый характер. Начинается с незначительных болей в животе в области пупка, что дает повод больным подозревать у себя несварение или легкое отравление и не обращаться к врачу.
Буквально через пару часов болевой синдром усиливается и принимает схваткообразный или ноющий интенсивный характер. Продолжительность колеблется от 3 – 4 часов до 2 — 3 дней, что встречается довольно редко. Несмотря на лихорадку, сопровождающую буквально с первых часов данное заболевание, общее состояние больного остается удовлетворительным.
Больные часто отмечают появление тошноты, периодически рвоты. Характерно для данного заболевания расстройство кишечника, проявляющегося диареями или запорами. Не редко при осмотре таких больных обнаруживаются симптомы поражения верхних дыхательных путей, представленные в виде гиперемии (покраснении) зева, лица, или проявления простого герпеса.
Как правило, такие больные отмечают недавно перенесшую ангину или грипп.
При осмотре пациента обращает на себя внимание болезненность при пальпации живота в области пупка или чуть правее от него (зависит от анатомических особенностей).
Но не редко мезаденит может проявляться болевым синдромом в правой подвздошной или паховой области в купе с симптомом раздражения брюшины, что часто дает повод ошибиться и выставить диагноз острого аппендицита.
В таких случаях диагноз мезаденита устанавливается уже в ходе аппендэктомии (удалении аппендикса) на операционном столе. В таком случае удаляется червеобразный отросток и 1-2 брыжеечных лимфатических узла для проведения биопсии, а живот ушивается послойно без дренирования.

Для более точной диагностики данного заболевания существуют дополнительные физикальные методы исследования, такие как: проверка симптома Мак-Фаддена – это появление болезненности по краю прямой мышцы живота на 3-5 см ниже пупка, проверка симптома Клейна – при перевороте больного со спины на левый бок, происходит миграция болевой точки в ту же сторону. Показательной является болезненности при надавливании по ходу воображаемой линии соединяющей правую подвздошную область с левым подреберьем – симптом Штернберга.
Острый простой неспецифический мезаденит — наиболее частая форма заболевания (80 %). В этом случае боль в животе появляется внезапно, носит интенсивный, схваткообразный характер, никуда не иррадиирует и не имеет определенной локализации.
Приступы длятся от 10-15 мин до 2 ч и более. Иногда боль может быть постоянной. Боль в животе часто сопровождается диспепсическими явлениями — тошнотой, рвотой, запорами. Субфебрильная температура наблюдается у половины больных.
Наличие аппендикулярных симптомов (Ровзинга, Ситковского, Воскресенского) нехарактерно для данной формы.
Острый деструктивный неспецифический мезаденит имеет свои особенности. При данной форме заболевания приступы боли бывают продолжительностью 5-7 ч и возникают чаще, чем при простом мезадените. У ряда больных боль носит постоянный характер. Более часто наблюдаются и диспепсические расстройства.
Температура тела всегда повышена, нередко выше 38″С. Определяется симптом Блюмберга и напряжение мышц передней стенки живота. Диагноз затруднен. Заболевание выявляют во время операции. При остром гнойном мезадените в брюшной полости содержится около 100 мл серозно-гнойного или гнойного выпота.
Брыжейка тонкой кишки в области илеоцекального угла отечна, лимфоузлы увеличены до 2-3 см в диаметре, инъецированы, рыхлые, покрыты фибринозным налетом.
При остром гнойно-некротическом мезадените в брюшной полости содержится гнойный выпот, отек брыжейки еще более выражен, мезентериальные лимфоузлы достигают 3-4 см в диаметре, отмечается их расплавление, видны участки некроза. Фибринозный налет, покрывающий брыжейку, распространяется на петли тонкой и толстой кишок, брюшину.
Хронический неспецифический мезаденит встречается чаще, чем острый. В ряде случаев он служит основой для развития острого мезаденита. Общие симптомы отсутствуют или нерезко выражены. Температура тела чаще бывает нормальной. Обычно больные вялые, бледные, пониженного питания. У них .
нередко обнаруживаются хронические инфекции: тонзиллит, гайморит, кариес зубов. Беспокоит боль в животе, которая преимущественно локализуется в правой подвздошной области. Часто боль возникает внезапно и носит схваткообразный характер, длится от 3 до 20 мин.
Живот мягкий, умеренно болезненный в правой подвздошной области.
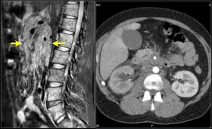
Диагноз устанавливают при наличии характерных клинических признаков признаков. Диагноз подтверждают с помощью лапароскопии. Большое диагностическое значение имеют ультразвуковое исследование органов брюшной полости и компьютерная томография. Однако чаще правильный диагноз устанавливают только в результате интраоперационной биопсии мезентериальных лимфатических узлов.
Подтверждается диагноз при лапароскопии или во время оперативного вмешательства.
Дифференциальный диагноз проводят с острым аппендицитом, туберкулезным мезаденитом, холециститом, дивертикулярной болезнью, первичным перитонитом, болезнью Крона, гастродуоденальными язвами и язвенным колитом.
Лечение острого неспецифического брыжеечного лифаденита обычно консервативное и проводится в условиях хирургического стационара.
Базисными препаратами являются антибиотики широкого спектра действия, к ним относятся цефалоспорины 3 поколения (Цефотаксим, Цефтриаксон, Цефтазидим, Цефоперазон, Цефиксим), фторхинолоны 2 или 3 поколения (Ломефлоксацин, Норфлоксацин, Офлоксацин, Левофлоксацин, Спарфлоксацин).
Целью данных антибиотиков при лимфадените является подавить возбудителя инфекции и не позволить дальнейшего развития воспалительного процесса.
Для снятия болевого синдрома применяются спазмолитические средства, такие как: дротаверин, папаверин, баралгин, баралгитас, Но-Шпа, а так же препараты анальгезирующего действия: анальгин, кеторолак. В крайних случаях производят паранефральную блокаду.
Это наиболее сложный метод обезболивания, но порой единственный способный снять боль пациенту. Суть данного метода заключается в ведении новокаина в околопочечную клетчатку, откуда он распространяется на нервные сплетения почек, солнечное нервное сплетение и чревное.
В результате в области иннервации этих сплетений полностью отсутствует болевая чувствительность. Также необходимо проведение дезинтоксикационной терапии путем введения инфузионных растворов (Интерлейкин-2, Ронколейкин). Неплохими показателями обладают физиотерапевтические методы лечения.

При гнойном мезадените показано экстренное хирургическое лечение для предупреждения развития осложнений и дальнейшее консервативное лечение.
При своевременно диагностированном и пролеченном остром мезадените прогноз для жизни и здоровья благоприятный.
Основой профилактики неспецифического брыжеечного лимфаденита является контроль и своевременная санация очагов очагов инфекции у лиц, перенесших инфекционные заболевания, а также контроль и лечение заболеваний ассоциированных с Helicobacter pilori.
Если вы не являетесь медицинским специалистом:
- Занимаясь самолечением, вы можете нанести непоправимый вред своему здоровью.
- Информация, размещенная на сайте MedElement и в мобильных приложениях «MedElement (МедЭлемент)», «Lekar Pro», «Dariger Pro», «Заболевания: справочник терапевта», не может и не должна заменять очную консультацию врача. Обязательно обращайтесь в медицинские учреждения при наличии каких-либо заболеваний или беспокоящих вас симптомов.
- Выбор лекарственных средств и их дозировки, должен быть оговорен со специалистом. Только врач может назначить нужное лекарство и его дозировку с учетом заболевания и состояния организма больного.
- Сайт MedElement и мобильные приложения «MedElement (МедЭлемент)», «Lekar Pro», «Dariger Pro», «Заболевания: справочник терапевта» являются исключительно информационно-справочными ресурсами. Информация, размещенная на данном сайте, не должна использоваться для самовольного изменения предписаний врача.
- Редакция MedElement не несет ответственности за какой-либо ущерб здоровью или материальный ущерб, возникший в результате использования данного сайта.
Мезентериальные лимфоузлы: увеличение, норма, где находятся
Мезентериальные лимфоузлы – это группа сосудов, проходящих вдоль кровеносной структуры брюшной полости. Классифицируются как вид висцеральных связок. Выполняют функцию по сборке и фильтрации лимфы, поступающей от всех органов брюшины.
Подвиды
Верхние лимфоузлы имеют самое большое представительство висцеральных связок количеством до 400 штук. Место дислокации в организме человека – у тонкой кишки, посередине листков брыжейки. Находятся глубоко, пальпация недоступна. Безболезненность для них – норма. Фильтруют лимфу с большей части кишечника.
Представителей нижних сосудов меньше, количество варьируется от 10 до 60 штук. Расположены у сигмовидной кишки организма. Прощупывание невозможно ввиду глубокого местоположения. Собирают и фильтруют белковую суспензию в нижней части кишечника.
https://youtube.com/watch?v=RJNbr3LoNCc
Оба представителя класса мезентериальных узлов выполняют функцию форпоста организма человека, реагируют на появление чужеродных микроорганизмов в брюшине человека. Поэтому если чувствуется дискомфорт в состоянии брюшной полости и сосуды увеличены, надо обратиться к врачу.
Увеличение
Лимфоузлы увеличиваются в случае заражений организма патогенами, другой инфекции, вплоть до механических повреждений. Любое изменение состояния брюшины вызывает реакцию брыжеечных лимфатических сосудов.
Мезаденит, или лимфаденопатия, как и лимфаденит – это заболевание, протекающее с увеличением и воспалением брыжеечных узлов. По статистическим данным, патологии чаще подвержена мужская часть населения. У ребёнка при жалобах на боли в животе стоит сразу же обратиться к медикам.
Неспецефический мезаденит – болезнь, от которой страдают в основном молодые люди. Ей подвержены девушки, женщины. Заражает людей с хрупкой конституцией тела, пониженным питанием. При гнойном лимфадените интенсивность боли уменьшается, общее состояние больного становится хуже в связи с интоксикацией организма. Возникают порывы к рвоте, возможна диарея.
Причины
Патология бывает локальной. В таком случае болеет только один орган. Если заболевание носит генерализованный характер – это говорит о серьёзном поражении организма. Причин несколько:
- понижение иммунитета;
- атака микобактерий;
- наличие тонзиллита, фарингита;
- воспаление ЖКТ.
Вторичная лимфаденопатия возникает по причине аппендицита, пневмонии или энтерита. Кровоточит инфицированная брыжейка. Первичный мезаденит могут инициировать микробы из стенок брюшины.
Симптомы
Симптоматика лимфаденопатии зависит от характера болезни. Острый мезаденит характеризуется такими показателями:
- фонтанирующая рвота, частые позывы;
- высокая температура тела;
- запор;
- понос;
- приступы боли в области пупка;
- колики в нижнем правом углу живота.
В детском возрасте гнойная лимфаденопатия наблюдается редко. К показателям нужно добавить интоксикацию организма, слабость, учащённое сердцебиение.
Одна из разновидностей патологии – туберкулёзный мезаденит. Он характеризуется:
- повышенной температурой;
- резким снижением массы тела;
- отсутствием аппетита.
Для выявления туберкулёза стоит провести дополнительную диагностику. При остром мезадените гноится брыжейка, наблюдается некроз, абцессы, возможен перитонит.
Диагностика
Диагностику проводят после выявления симптомов лимфаденопатии и лимфаденита (увеличения и воспаления лимфоузлов брюшной полости). У детей после обращения родителей к медикам выявляют диагноз:
- смотрят на цветовой фон кожных покровов;
- осмотр языка;
- измерение пульса, температуры тела;
- клинический забор крови;
- забор крови биохимический;
- анализы мочи и кала;
- УЗИ исследование органов брюшины;
- компьютерная томография.
Компьютерное обследование показывает, в каком состоянии находится брюшина. УЗИ поможет разобраться с определением больного органа. Если есть подозрение на наличие туберкулёзных бацилл, делают пробу Манту. Диагностическая лапароскопия назначается для визуализации поражённых связок, осмотра соседних органов, с целью выявления сопутствующей патологии.
Хирургический осмотр проводится пальпаторным обследованием бугорков различной локации. Проверяется наличие положительных проявлений Мак-Фаддена, неприятных ощущений с правой стороны живота, симптомов Клейна (по выявлению боли при развороте тела справа налево), методики Штенберга (проявление боли при надавливании на линию правой подвздошной области).
Дифферинциальная диагностика лимфаденопатии проводится при острых резях и коликах в нижней части живота ля выявления аппендицита, язвы или панкреатита желудка.
УЗИ-обследование даёт возможность располагать данными о плотности увеличения сосудов, определить повышенную эхогенность в полости, где находятся лимфоузлы. Помогает проверить область печени и селезёнки на наличие сопутствующих заболеваний.

Проверенным методом диагностики считается МРТ. Этот способ считается точным, информативным решением проблемы по выявлению патологии. С его помощью можно подсчитать количество поражённых лимфатических сосудов, измерить размеры их деформации. Визуально обследовать изменения в работе желудочно-кишечного тракта и соседних органов.
Для назначения эффективного лечения медикам предстоит определить характер и направление болезни. Дальнейшую терапию вплоть до уничтожения патологии проведут специалисты: инфекционист, фтизиатр, отоларинголог, стоматолог и хирург.
Помните, лимфаденопатию и лимфаденит могут спровоцировать болезни:
- вирусные (гепатит, краснуха, ВИЧ, корь),
- микроорганизмы (псевдотуберкулёз, брюшной тиф, сальмонеллёз).
Лечение
Лечение мезаденита демонстрирует разносторонний спектр средств. Это и медикаментозный метод, физиотерапия и народная медицина. Задача врачей – как можно быстрее выявить и локализовать очаги поражения патологией.
Медикаментозное решение
Антибиотики назначаются после специальных тестов на аллергены. Подразумевается проведение специализированных анализов. По результатам назначают: Оксациллин, Амоксиклав, Сульфазин.
Дезинтоксикация назначается для снижения отравления организма. Для этого выписывают: Реосорбилакт, Энтеросгель, Полипефан, Сорбекс. От мышечных спазмов и снятия боли: анальгетики, Нош-па, Кетанов, Папаверин.
Физиотерапию обычно применяют после устранения острых болевых ощущений. Важно помнить о побочных эффектах от препаратов антибактериального толка.
Своевременная диагностика и правильное лечение повышают возможность благоприятного исхода. Длительную и нестерпимую боль снимают при помощи паранефральной блокады.
Анализируя показания диагностики, врачи принимают решение об оперативном вмешательстве. Абцсессы вскрывают и проводят дренаж сосудов.
Народная медицина
Народные средства лечения и профилактики организма эффективно дополняют медикаментозную терапию. Настойки из сборов трав и ягод благотворно влияют на самочувствие пациента. Рекомендуемые средства:
- Чай из цветов ромашки по своим характеристикам выполняет антисептические функции.
- Отвар корней ежевики – антисептические и жаропонижающие функции.
Больным мезаденитом в начальные дни инфекции прописана строгая диета. Пациентам детского возраста приём пищи ограничен небольшими размерами порций, принимать 3-4 раза в день. Не рекомендованы алкоголь, специи, майонезы и кетчупы, жирное мясо. Разрешены овощные салаты и супы, творог и мясо нежирной консистенции, каши.
Помните, средства народной медицины разрешается принимать только после консультаций с лечащим врачом. Самолечение недопустимо, особенно в случаях лечения детей. Ребёнок тяжело переносит болезнь. Может привести к серьёзным, труднопролечиваемым осложнениям.
Норма
Допустимая норма размеров для мезентериальных лимфатических узлов – 5 мм. Местонахождение лимфоузлов – полость брюшины, складка брыжейки, рядом с желудком, печенью и селезёнкой. Если сосуды увеличены, а пальпация невозможна, следует обратиться к врачу.
Всего в брюшине человека находится до 500 лимфатических сосудов. Брыжейка поддерживает тонкий кишечник. Воспаление висцеральных узлов у детей развивается мгновенно, в течение нескольких часов. У взрослых пациентов фаза развития заражения длится до 5 дней. Несвоевременное оказание помощи носит фатальные последствия для пациента.
Осложнения
Развитие инфекции, прогресс поражения могут привести к нагноению сосудов, появлению свищей. Длительный процесс приведёт к прорыву гнойников, что чревато попаданием гноя в брюшную полость. В итоге у пациента развивается перитонит.
Рядом находятся структуры кровообращения, попадая в которые патогенные микроорганизмы вызывают заражение крови или сепсис, часто с летальным исходом.
Запущенное состояние лимфаденопатии приводит к образованию спайки органов брюшины, что способствует странгуляции (непроходимости) кишечника.
https://youtube.com/watch?v=1o0eraGAC6w
Прогноз для больных мезаденитом благоприятен при своевременном обращении к медикам с сопутствующими знаниями и образованием. Грамотный подход к лечению болезни, умелая терапия приведут к полному излечению от патологии.
Затягивание с лечением, обращение к шарлатанам вызовут тяжёлые осложнения, такие как сепсис, перитонит, непроходимость кишечника, вылечить которые будет сложно.
Часто такое пренебрежение к заболеванию приводит к фатальным последствиям, с летальным исходом.
Профилактикой мезаденита будет своевременное прохождение медицинских процедур, ведение здорового образа жизни, занятия спортом, прогулки на свежем воздухе, здоровое и полезное питание, закаливание организма и приём мультивитаминов. Соблюдение базовых санитарных норм и правил элементарной гигиены – предпосылки к полноценной жизни.
Лечение мезаденита — воспаления лимфоузлов у детей
Лимфатические узлы у человека располагаются по всему телу. Они есть на шее, в паху, подмышками. Некоторые из них локализуются в брыжейке, то есть брюшной складке, поддерживающей тонкий кишечник.
Воспаление лимфатических узлов в этой области носит название мезаденит (по-другому болезнь называется мезентерит). В статье рассмотрим причины, симптомы заболевания у детей, а также методы лечения проблемы.
Что такое мезаденит у детей и откуда он берется
Воспаление чаще встречается у детей дошкольного, школьного возраста и подростков.
Известно, что в брюшной полости располагается более полсотни лимфатических узлов, которые выполняют защитную функцию и борются с инфекцией.
Где локализуется болезнь? Если воспаляются узлы, расположенные в брыжейке, речь идет о таком заболевании, как мезаденит. При этом может развиваться воспалительный процесс и даже нагноение в этой области.
Виды патологии
Мезаденит или мезентериальный лимфаденит протекает в двух формах. Медики выделяют такие типы болезни:
- Острое течение или неспецифический острый мезаденит. Проявляется в виде острой боли схваткообразного характера.
- Хроническое течение. Боли могут иметь как слабовыраженный, так и острый характер.
Хронический вид патологии, в свою очередь, делится на две группы – специфический и неспецифический мезаденит. Болезнь неспецифической этиологии провоцируют такие патогенные микроорганизмы, как вирусы, стафилококки, кишечные палочки. Этот вид заболевания делится на простой и осложненный (гнойный).
Специфический подразделяется на такие типы:
- Иерсиниозный – развивается вследствие поражения организма бактерией Yersinia.
- Туберкулезный – провоцируется палочкой Коха.
- Псевдотуберкулезный.
Существует два способа проникновения инфекции в брыжейку. Энтеральный – от больного человека к здоровому. Второй способ – через кровь и лимфу от зараженных соседних органов (аппендицит, легкие, желудок).
Причины возникновения мезаденита
При рассмотрении факторов, провоцирующих заболевание, стоит учитывать, что мезаденит у детей выступает в роли самостоятельного заболевания или сопутствующего при других патологиях.
Самостоятельное течение может вызвать поражение условно-патогенными бактериями, то есть теми микроорганизмами, которые присутствуют в пищеварительной системе каждого человека. Если у ребенка ослаблен иммунитет, эти бактерии приобретают патогенный характер и способны поражать лимфатические узлы.
Вирусный тип патологии диагностируется при вирусном происхождении. Чаще всего это происходит на фоне таких инфекций:
- Вирус Эпштейн-Барр.
- Цитомегаловирус.
- Энтеровирус.
- Иерсиниоз.
- Аденовирус.
- Стафилококк.
- Аскаридоз.
- Кишечная палочка.
- Сальмонелла.
- Туберкулез и прочих.
При вторничном мезадените инфекция проникает в брыжейку через кровь и лимфу из соседних органов. Это случается при таких болезнях, как аппендицит, тонзиллит, пневмония, энтерит.

Симптомы воспаления брыжеечных лимфоузлов
У взрослого и ребенка признаки заболевания зависят от его течения.
При острой форме патологии наблюдаются следующие проявления:
- Рвота, тошнота, болезненные ощущения в области солнечного сплетения.
- Боль может носить острый или ноющий характер.
- Увеличиваются и болят забрюшинные лимфатические узлы.
- Повышение температуры тела до высоких отметок.
- Малыш не может определить точную локализацию боли, так как она часто разливается по всей абдоминальной области.
- Боль может усиливаться при поворотах тела в том случае, если лимфоузлы поддаются нагноению.
- Нередко развивается понос, вздутие и другие диспепсические расстройства.
- Наблюдается тахикардия, жажда, сухость во рту.
- Артериальное давление падает или, наоборот, поднимается.
Хронический мезаденит в области мезогастрия (забрюшинного пространства) протекает, как правило, со слабовыраженной симптоматикой. При этом нет четкой локализации боли, она возникает то в одной, то в другой области живота, носит ноющий характер, усиливается при физических нагрузках. Дискомфорт может сохраняться от нескольких недель, до нескольких месяцев.
Туберкулезный мезаденит сопровождается субфебрильной температурой тела, слабыми болями, снижением массы тела у ребенка, капризностью, потерей аппетита. Реже возникает кашель.
Где расположены периферические лимфатические узлы
На картинке можно увидеть, где локализуются лимфоузлы на теле у мужчин и женщин.
Здесь на фото изображено расположение самых крупных из них. На картинках можно также увидеть, как выглядят воспаленные лимфоузлы на шее.
Чаще данное состояние носит инфекционный характер, но иногда встречаются и другие причины, например, на нервной почве.
Опасно ли это заболевание в детском возрасте
Если у пациента воспаляются и увеличиваются лимфоузлы, расположенные в области брыжейки, состояние требует своевременной диагностики и правильного лечения. Дело в том, что абдоминальные лимфатические узлы могут гноится, что вызывает серьезные осложнения. При этом бывает так, что спасти пациента не удается. Какие же последствия могут возникнуть:
- Гнойное поражение лимфатических узлов, их разрыв, образование гнойных участков в брюшной полости.
- Поражение крови, лимфы, сепсис, интоксикация организма.
- Распространение инфекции. При этом поражаются шейные, подчелюстные, паховые, подмышечные узлы.
Чаще тяжелое течение мезаденита наблюдается у пациентов, страдающих туберкулезом.
Методы лечения
Итак, воспаленные узлы, которые находятся в области брыжейки, могут повлечь за собой многие осложнения, поэтому лечить патологию нужно своевременно. Инфекция в эту область может проникать, если первоначально она локализуется в легких, желудке, печени и других внутренних органах.
Если лимфоузлы воспалились, обращение к врачу должно быть немедленным. В противном случае осложнения могут быть несовместимыми с жизнью.
Вся информация предоставлена с ознакомительной целью и не является побуждением к действию. Помните, самолечение опасно.
Медикаментозная терапия
Что делать при данном заболевании? Вылечить мезаденит помогают таблетки и уколы различных групп. Назначаются препараты специалистом только после лабораторного определения возбудителя инфекции. Во время терапии используются такие средства:
- При неспецифической форме болезни применяются антибактериальные препараты, относящиеся к группе макропидов и цефалоспоринов.
- Если происхождение мезаденита туберкулезное, больному прописывают антибактериальные средства из группы аминогликозидов.
- Снять болевые ощущения и уменьшить другие симптомы помогают спазмолитики и анальгетики.
- Нередко применяются сорбенты. Они предназначены для выведения из организма продуктов распада.
- Для укрепления иммунитета и восстановления сил проводится витаминная терапия.
Лечение воспаления антибиотиками должно проводиться строго по назначению врача. Лекарства этой группы нередко вызывают побочные действия, а при вирусном происхождении патологии оказываются неэффективными.

Схема лечения при мезадените у детей и взрослых подбирается исключительно доктором. Только специалист способен подобрать адекватную терапию, основываясь на данных анализов и других методов обследования.
Лечение народными средствами
Натуральные продукты можно использовать для детей и взрослых, пожилых пациентов и женщин во время беременности. Их преимущество заключается в относительной безопасности и доступности. Что поможет при патологии:
- Снять воспаление и снизить температуру тела поможет отвар из сизой ежевики. Для приготовления лекарства понадобятся сухие корни растения. Приобрести их можно в аптеке или заготовить самостоятельно. Отвар готовится из расчета 10 г измельченных корней на половину литра кипятка. Напиток томят на водяной бане 10-15 минут, после чего настаивают 2 часа и пьют в теплом виде по 1 ст. л каждые 2-3 часа.
- Ромашковый чай – это еще одно средство, которое хорошо устраняет симптомы мезаденита. Готовится чай так: столовая ложка цветков на литр кипятка. Принимать лекарство нужно по четверти стакана 3-4 раза в день. Для вкуса можно добавить мед или сахар.
- Отвар на основе семян тмина против боли и воспаления. Столовую ложку продукта заваривают литром кипятка и дают средству настояться полчаса. После этого отвар процеживают и дают ребенку по 20 мл трижды в день.
Как и аптечные препараты, народные средства следует принимать с осторожностью. Важно убедиться в отсутствии аллергии на те или иные продукты у маленького пациента. Перед началом лечения лучше всего проконсультироваться с педиатром.
Диета
Мезаденит – это заболевание, характеризующееся воспалением, болью и негативно сказывающееся на процессе пищеварения. При этом процесс всасывания питательных веществ может сильно нарушаться. Отзывы врачей свидетельствуют о том, что правильное питание при воспалении лимфоузлов у детей – это ключевой и неотъемлемый элемент лечения.
Правила питания в острый период болезни:
- Прием пищи должен выполняться 5-6 раз на протяжении дня, маленькими порциями.
- Оптимальный вариант питания – стол номер 5.
- Промежуток между очередным приемом пищи не должен составлять более 3 часов.
- Еда должна быть перетертой или хорошо измельченной.
- Нельзя кушать слишком горячую или холодную пищу.
- Блюда должны иметь нейтральный химический состав (запрещено острое, кислое, соленое, копченое, жирное).
Для приготовления пищи при мезадените лучше выбрать метод варки, тушения или запекания. Нельзя использовать специи.
Основа рациона – каши, овощи и фрукты в запеченном или тушеном виде, нежирные кисломолочные продукты, рыба и мясо постных сортов.
Из напитков можно выбрать нейтральные соки, зеленый или травяной чай, компоты, простую воду. Нежелательно давать ребенку во время лечения крепкий чай, кофе, сладкие газированные воды.
Профилактика заболевания у детей
Принципы профилактики мезаденита в детском возрасте определяются, исходя из причин развития патологии. Здесь необходимо придерживаться следующих правил:
- Своевременное лечение инфекции ЛОР-органов.
- Соблюдение гигиены питания для предотвращения развития инфекций пищеварительной системы.
- Тщательная обработка пищи.
- Соблюдение условий хранения портящихся продуктов (рыба, мясо, молоко).
- Систематическое мытье рук перед едой и после улицы.
- Употреблять только очищенную питьевую воду.
- Ребенок должен регулярно посещать стоматолога, чистить зубы дважды в день.
При появлении у малыша симптомов, указывающих на воспаление лимфатических узлов в любой части тела (на шее, в паху, под челюстью, на спине), необходимо скорее показать ребенка врачу.
Только ранняя диагностика и правильное лечение поможет избежать многих серьезных осложнений. берегите себя и своих малышей и будьте счастливы.
Евгений Комаровский рассказал о лимфатических узлах и их воспалении у детей в одном из своих уроков.
Лимфаденопатия брюшной полости забрюшинная, мезентериальная: что это такое
В брюшной полости расположено большое количество лимфатических узлов, которые могут увеличиваться в ответ на патологические процессы, протекающие в организме. Лимфаденопатия брюшной полости – так называется это нарушение.
Причем увеличение лимфатических узлов не является самостоятельным заболеванием, а лишь симптомом, указывающим на то, что в организме произошел какой-то серьезный сбой. Само по себе это нарушение должно насторожить каждого человека.
Точно выявить причину патологии и подобрать схему терапии может только врач.
Особенности патологии
В организме человека расположено много лимфатических узлов, которые могут увеличиваться и воспаляться в ответ на различные нарушения. Лимфаденопатией брюшной полости называется увеличение одного или нескольких лимфатических узлов в абдоминальной зоне.
Эти лимфоузлы расположены глубоко под кожей, пальпировать их самостоятельно нельзя, поэтому нарушение можно заподозрить по косвенным симптомам.
Точно диагностировать патологию, а также болезни, которыми она была вызвана, может только квалифицированный специалист после ряда обследований.
Несмотря на специфику симптомов, лимфаденопатия не всегда опасна.
Достаточно часто это нарушение развивается из-за общего снижения иммунитета, вирусных, грибковых и бактериальных заболеваний, устранение которых приводит к нормализации работы лимфатической системы.
В то же время лимфоузлы могут увеличиваться на фоне опасных патологий, например, онкологии. В связи с этим не следует пытаться лечить нарушение самостоятельно, важно как можно скорее пройти комплексное обследование.
В МКБ-10 аденопатия забрюшинных лимфоузлов (второе название патологии) не имеет собственного кода. Абдоминальная лимфаденопатия обозначается кодом R59, как и другие формы увеличения лимфатических узлов.
Нарушение может наблюдаться у любого человека. Как правило, причину увеличения абдоминальных лимфатических узлов следует искать среди патологий органов брюшной полости.
Особенности симптоматики
Разобравшись, что такое забрюшинная (брюшная, или абдоминальная) лимфаденопатия, следует знать, как проявляется это нарушение. В целом типичные симптомы увеличения лимфатических узлов в брюшной полости следующие:
- ухудшение аппетита;
- боли в абдоминальной области;
- метеоризм, чувство тяжести;
- сильная слабость;
- быстрая утомляемость;
- ночная потливость;
- кожные высыпания.
На УЗИ заметны изменения внутренней поверхности брюшной полости, увеличение селезенки и печени, однако эти признаки не проявляются дискомфортом.
Достаточно часто при лимфаденопатии забрюшинных лимфоузлов присутствуют симптомы общего недомогания: слабость, умеренное повышение температуры тела, быстрая утомляемость. Пациенты часто отмечают ухудшение сна, ночную потливость, приливы.
Самостоятельное прощупывание живота не причиняет дискомфорта. При лимфаденопатии необходимо ориентироваться в первую очередь на общие симптомы, так как лимфоузлы в брюшной полости расположены глубоко, из-за чего не пальпируются.
Проблема заключается в том, что пациенты редко обращают внимание на такие симптомы, связывая их с пищевым отравлением, простудным заболеванием или перенапряжением.
Виды нарушения
В хроническую форму лимфаденопатия брюшной полости переходит в случае, когда основное заболевание не было вылечено.
Абдоминальная лимфаденопатия характеризуется по локализации увеличенных лимфоузлов, течению нарушения, количеству пораженных узлов.
По локализации выделяют лимфаденопатию в забрюшинном пространстве, увеличение брыжеечных узлов, увеличение внутрибрюшных лимфоузлов. Лимфаденопатия брыжейки кишечника часто сопровождается метеоризмом и резями в кишечнике, в остальном же симптомы не зависят от точной локализации увеличенных узлов в абдоминальной области.
По количеству увеличенных узлов абдоминальная лимфаденопатия бывает:
- локальной;
- регионарной;
- генерализованной.
Для локальной формы нарушения характерно увеличение одного лимфатического узла брюшной полости. Регионарной называется патология, при которой увеличиваются несколько узлов в одной зоне (в данном случае – в брюшной полости). Генерализованной формой заболевания является увеличение больше трех групп узлов.
По характеру течения патология бывает:
- острой;
- хронической;
- рецидивирующей.
Острой называется первично проявившаяся патология. Как правило, ее связывают с инфекционными заболеваниями. В хроническую форму болезнь переходит в случае, когда основное заболевание не было вылечено, но его симптомы стихли, либо при неадекватной терапии причины увеличения лимфатических узлов.
В этом случае лимфоузлы остаются увеличенными, однако острая симптоматика стихает. Рецидивирующей формой нарушения называется повторное увеличение лимфатических узлов в той же области после лечения.
Обычно это происходит на фоне снижения иммунитета либо при обострении хронических заболеваний, которые могут повлечь за собой нарушение лимфотока и увеличение регионарных узлов.

Независимо от формы все патологии являются потенциально опасными и требуют своевременного лечения.
Причины патологии
Туберкулез (вследствие распространения палочки Коха) влечет за собой увеличение лимфатических узлов в различных частях тела, включая брюшную полость
Лимфаденопатия мезентериальных лимфоузлов может быть спровоцирована различными причинами. К ним относят:
- инфекции;
- туберкулез;
- сифилис и ВИЧ;
- аллергические реакции;
- системные заболевания;
- гепатит;
- панкреатит;
- заражение паразитами;
- грибковые заболевания.
В целом, увеличение лимфатических узлов наблюдается на фоне снижения иммунитета. Это может быть вызвано даже сезонными ОРВИ.
В то же время лимфатические узлы брюшной полости увеличиваются при наличии патологического очага в соседних органах.
Пожалуй, самой опасной причиной являются злокачественные новообразования кишечника, желудка, печени и других органов, расположенных в непосредственной близости.
Нарушение очень часто возникает на фоне инфекционных заболеваний. Спровоцировать патологию могут различные вирусы, бактерии, грибки. Очень часто увеличение лимфатических узлов появляется на фоне сифилиса или ВИЧ. Причем длительное такое нарушение без каких-либо других симптомов является весомым поводом для сдачи анализов на ВИЧ.
Туберкулез вызывает увеличение лимфатических узлов в грудной клетке. Распространение палочки Коха по организму влечет за собой увеличение лимфатических узлов в различных частях тела, включая брюшную полость. При этом лимфаденопатия может выступать первым симптомом этого заболевания.
Аллергические реакции и лимфаденопатия у детей
К неочевидными причинам лимфаденопатии брюшной полости относят тяжелые пищевые аллергии.
Как правило, увеличение узлов лимфатической системы на фоне такого иммунопатологического процесса, как аллергическая реакция, диагностируется преимущественно у детей.
Нарушение появляется из-за проникновения аллергена в брюшную полость. Достаточно часто это возникает на фоне пищевой аллергии, попадания пыльцы, пыли, шерсти животных в пищевод.
Спровоцировать лимфаденопатию абдоминальной области может непереносимость некоторых медикаментов. Такая реакция наблюдается при длительном приеме различных препаратов.
Ревматоидный артрит
Лимфаденопатия является одним из симптомов патологий соединительной ткани. Увеличение узлов по всему телу, включая брюшную полость, может наблюдаться при ревматоидном артрите. По МКБ-10 эта патология обозначается кодом М05.
Заболевание проявляется воспалением мелких суставов рук и ног, характеризуется хроническим течением с периодами обострения и ремиссии.
Увеличение лимфатических узлов при этом связано с аутоиммунными процессами, в результате которых в лимфатической системе накапливаются специфические антитела, атакующие соединительную ткань в суставах человека.
Причиной нарушения также может выступать системная красная волчанка.
Лимфогранулематоз
Лимфогранулематоз характеризуется высоким риском летального исхода, так как поздние стадии патологии плохо поддаются лечению
Это злокачественное заболевание, проявляющееся изменением лимфоидной ткани. По МКБ-10 заболевание обозначается кодом С81. Как правило, первичным симптомом патологии является увеличение шейных лимфоузлов (в 80% случаев), однако в 10% случаев в первую очередь происходят изменения в брюшных лимфатических узлах.
Патология характеризуется быстрым течением и высоким риском летального исхода, так как поздние стадии лимфогранулематоза плохо поддаются лечению.
Опасность болезни заключается в трудности своевременной диагностики, так как на начальной стадии симптомы могут отсутствовать.
Диагностировать патологию можно только инструментальными методами (УЗИ, МРТ), поэтому при появлении дискомфорта в брюшной полости следует как можно скорее обратиться к врачу.
Паразитарные болезни
Чаще всего лимфаденопатия брыжейки кишечника или брюшной полости ассоциируется с паразитарными инвазиями. Причиной увеличения лимфатических узлов чаще всего выступают гельминты или аскариды. Существует множество паразитарных болезней, вызванных различными возбудителями, в МКБ-10 они обозначаются кодами B65-B83.
Типичные симптомы заражения паразитами:
- изменение аппетита;
- общая слабость;
- потеря веса;
- ухудшение состояния волос, кожи, ногтей;
- плохой ночной сон;
- расстройства пищеварения;
- кожные высыпания;
- боли в желудке.
В тяжелых случаях наблюдаются симптомы интоксикации в ответ на продукты жизнедеятельности паразитов. Кроме того, некоторые виды паразитарных болезней (гельминты) вызывают дискомфорт вокруг анального отверстия, что является одним из специфических симптомов, позволяющих самостоятельно предположить диагноз.
Патологии ЖКТ
Увеличение узлов в абдоминальной области может быть связано с заболеваниями пищеварительной системы. Так, патология может указывать на панкреатит (воспаление поджелудочной железы). В МКБ-10 болезнь обозначают кодом К85. Симптомы острого воспалительного процесса:
- острая боль;
- тошнота с рвотой;
- тахикардия;
- расстройства дефекации.
Тем не менее, лимфаденопатия характерна для хронического панкреатита и развивается из-за нарушения нормальных метаболических процессов в брюшной полости вследствие постоянного воспаления. При хроническом воспалительном процессе наблюдается нарушение оттока желчи, возможно возникновение псевдокист в поджелудочной железе.

Помимо перечисленных причин, вызвать увеличение лимфоузлов в брюшной полости могут злокачественные новообразования в других органах, которые метастазируют в лимфатическую систему.




