Голеностопный сустав часто травмируется, особенно у спортсменов и активных людей. Растяжение связок может варьироваться от легкого дискомфорта до серьезных повреждений, требующих медицинского вмешательства. В статье рассмотрим методы первой помощи, эффективные способы домашнего лечения и рекомендации по стационарному лечению, чтобы помочь вам быстрее восстановиться и избежать осложнений.
Причины травм голеностопа
Надрыв (или разрыв) волокон связок голеностопного сустава может произойти в результате спортивных занятий, таких как легкая атлетика, футбол или лыжи, а также при ношении обуви на высоком каблуке или беге по неровным поверхностям. Это происходит, когда нагрузка на сустав превышает его допустимые пределы. Повреждение связок может возникнуть при подворачивании стопы внутрь (что затрагивает большеберцовые связки и дельтовидную группу) или наружу (в случае малоберцовых связок). Чаще всего страдает наружная группа связок.
Факторы, способствующие травмам:
- Врожденные аномалии строения костей;
- Предыдущие травмы голеностопного сустава;
- Плоскостопие;
- Избыточный вес;
- Косолапость;
- Заболевания соединительных тканей;
- Артрозы голеностопного сустава;
- Профессиональные занятия спортом.
Причины, приводящие к травмам:
- Подворачивание стопы наружу;
- Подворачивание стопы внутрь;
- Сильный удар по стопе.
Врачи отмечают, что лечение растяжения связок голеностопа требует комплексного подхода. Первоначально рекомендуется применение повязок, которые обеспечивают стабильность и ограничивают движение в поврежденной области. Это помогает снизить риск дальнейших травм и способствует быстрому восстановлению. Важным элементом терапии являются мази с противовоспалительным и обезболивающим действием, которые уменьшают отек и дискомфорт. Специалисты также советуют применять холодные компрессы в первые дни после травмы для уменьшения воспаления. В дальнейшем, после снятия остроты симптомов, показаны легкие физические нагрузки и специальные упражнения для восстановления подвижности и силы связок. Врачи подчеркивают, что своевременное обращение за медицинской помощью и соблюдение рекомендаций значительно ускоряют процесс реабилитации.
https://youtube.com/watch?v=9hS9rxia-BQ
Степени растяжения
- Первая степень. Небольшое повреждение отдельных волокон или пучков. Подвижность сустава остается в норме, симптомы проявляются слабо, возможно проведение пальпации. В течение некоторого времени пациент может испытывать легкую хромоту;
- Вторая степень. Повреждение волокон более выраженное, чем в первой степени. Симптоматика становится более заметной. Пациенту сложно опираться на ногу, болевые ощущения интенсивные, напоминающие боли при переломах трубчатых костей. Способность к работе может быть нарушена на срок до семи дней;
- Третья степень. Полный разрыв связок (одной или нескольких). Болевые ощущения очень сильные. Клиническая картина схожа с переломом костей голеностопного сустава и иногда может быть даже более выраженной. Опираться на ногу невозможно из-за изменения анатомических структур. Функции стопы полностью утрачены.
| Метод лечения | Описание | Примечания |
|---|---|---|
| Покой (Rest) | Избегание нагрузки на поврежденную связку. | Важен в первые дни после травмы для предотвращения дальнейшего повреждения. |
| Лед (Ice) | Прикладывание холода к месту травмы. | Прикладывать на 15-20 минут каждые 2-3 часа в первые 24-48 часов для уменьшения отека и боли. Не прикладывать лед непосредственно на кожу. |
| Компрессия (Compression) | Использование эластичного бинта или компрессионной повязки. | Помогает уменьшить отек и обеспечить поддержку. Не затягивать слишком туго, чтобы не нарушить кровообращение. |
| Возвышенное положение (Elevation) | Поднятие поврежденной конечности выше уровня сердца. | Способствует оттоку жидкости и уменьшению отека. |
| Нестероидные противовоспалительные препараты (НПВП) | Прием таблеток или использование мазей/гелей (например, диклофенак, ибупрофен). | Уменьшают боль и воспаление. Применять согласно инструкции и по рекомендации врача. |
| Мази и гели местного действия | Нанесение противовоспалительных и обезболивающих мазей (например, Фастум-гель, Долобене). | Могут облегчить боль и уменьшить отек. Не наносить на открытые раны. |
| Ортопедические повязки и бандажи | Использование специальных фиксаторов для голеностопа. | Обеспечивают стабилизацию сустава, предотвращают повторные травмы. Выбираются по степени фиксации в зависимости от тяжести растяжения. |
| Кинезиотейпирование | Наложение эластичных лент (тейпов) на кожу. | Поддерживает связки, улучшает кровообращение, уменьшает боль и отек. Выполняется специалистом. |
| Физиотерапия | Комплекс процедур (УВЧ, магнитотерапия, электрофорез). | Ускоряет заживление, уменьшает боль и воспаление. Назначается врачом. |
| Лечебная физкультура (ЛФК) | Специальные упражнения для восстановления подвижности и укрепления мышц. | Начинать после уменьшения боли и отека, под контролем специалиста. Постепенное увеличение нагрузки. |
| Массаж | Легкий массаж вокруг поврежденной области. | Улучшает кровообращение, способствует рассасыванию отека. Не проводить в острой фазе. |
| Повторный осмотр врача | Контроль за процессом заживления. | Важен для оценки динамики и корректировки лечения. |
Симптоматика, сопровождающая растяжение связок стопы
Симптоматика повреждений связок голеностопного сустава второй и третьей степени часто напоминает признаки переломов, поэтому в случае таких травм обязательно нужно обратиться к травматологу.
При растяжении первой степени симптомы незначительны и могут проявиться не сразу, усиливаясь на следующий день: наблюдается увеличение отека, рост гематомы и посттравматическое воспаление. Пациент может опираться на ногу, но при ходьбе испытывает хромоту из-за болевых ощущений. Также возможно повышение местной температуры и появление гематомы (кровоизлияния в подкожную клетчатку).
При растяжениях связок второй и третьей степени наблюдаются следующие симптомы:
- Боль — возникает сразу после травмы. Она может быть очень интенсивной, порой даже сильнее, чем при переломе. Ярко выраженный болевой синдром длится около часа, после чего постепенно утихает, однако наступить на поврежденную ногу становится невозможно из-за возвращающейся боли. Пациент не может передвигаться самостоятельно. С увеличением отека боль усиливается из-за давления на нервные окончания;
- Отек — это основной признак повреждения связок, который появляется на обеих лодыжках. Редко отек охватывает всю стопу или голень. Он может сохраняться на поврежденной ноге в течение недели, после чего на этом месте остается гематома;
- Гематома — это косвенный признак растяжения связок. Через неделю после травмы синяк может распространиться на всю лодыжку, а через несколько недель затронуть область ближе к подошве. Со временем, в результате распада кровяных клеток, гематома меняет цвет от синего до желтого;
- Невозможность передвижения самостоятельно наблюдается при повреждениях связок второй и третьей степени. Процесс заживления связок и восстановление функциональности обычно занимает от десяти до четырнадцати дней после травмы.
https://youtube.com/watch?v=6TbeO8HPjHI
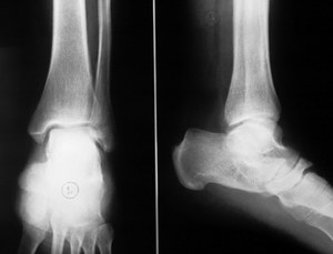
Диагностика
-
Рентгенография. Этот метод диагностики применяется при подозрении на травмы связок голеностопного сустава. Он помогает различить переломы костей и разрывы связок. Рентгенографию проводят в боковой и прямой проекциях. Это исследование является обязательным;
-
Ультразвуковое исследование пораженного голеностопа. Дополнительный метод, который позволяет выявить разрыв суставных связок. Обычно назначается при наличии гемартроза и отеков;
-
МРТ. Этот метод используется в сложных случаях для определения дальнейшей хирургической стратегии. МРТ дает возможность рассмотреть сустав в различных проекциях. Он является основным при сочетанных повреждениях сустава, включая синдесмоз, связки и кости.
Первая помощь при повреждении связок голеностопного сустава
При повреждении связок голеностопного сустава крайне важно оказать своевременную и адекватную помощь, что поможет ускорить восстановление поврежденных волокон и восстановить функции сустава.
- Лечение растяжения связок голеностопа следует начинать с применения холода. Для этого нужно прикладывать лед к травмированному участку в течение десяти-пятнадцати минут, а затем повторить процедуру через полчаса. Холод помогает уменьшить болевые ощущения и снизить отечность (это происходит благодаря рефлекторному сужению сосудов). В качестве источника холода можно использовать лед, замороженные продукты или контейнеры с очень холодной водой;
- Следующим шагом первой помощи является обеспечение покоя травмированной конечности. До установления точного диагноза не следует опираться на поврежденную ногу. Сустав необходимо зафиксировать с помощью самодельной повязки или транспортной шины и оставить в таком состоянии до консультации с хирургом или травматологом;
- Затем важно поднять ногу на возвышение, используя для этого валик или подушку;
- Если есть возможность, следует ввести анальгетик (как инъекционно, так и перорально).
Как лечить растяжение связок голеностопа
При первой и второй степени растяжения связок голеностопного сустава лечение можно проводить в домашних условиях. Для этого следует выполнить следующие рекомендации:
- В течение первых суток после травмы необходимо прикладывать холод к поврежденной области пять-шесть раз на десять-пятнадцать минут;
- Конечность следует зафиксировать с помощью эластичной повязки на голеностоп или лангетки на ногу. В случае более серьезных повреждений рекомендуется использовать гипсовую повязку. Фиксирующую повязку нужно носить в течение семи-десяти дней (если это бандаж, его можно снимать на ночь);
- Если используется гипсовая повязка, ее следует носить не более семи дней. Длительное ношение может привести к нестабильности сустава, так как даже травмированные связки должны восстанавливаться уже через пять-восемь дней, а гипс этому препятствует;
- Поврежденный голеностоп обрабатывают противовоспалительными мазями при растяжении связок (такими как Долгит, Долобене, Диприлиф, Диклофенак) на протяжении всего периода лечения. Эти препараты обладают противовоспалительным и противоотечным действием, а также помогают снять болевые ощущения;
- Если сохраняется отек и гематома, рекомендуется использовать мази, улучшающие кровообращение (например, Гепарин, Индовазин);
- Травмированной конечности следует придавать возвышенное положение в первые дни после травмы. Это поможет уменьшить болевые ощущения и ускорить процесс снятия отека.
При растяжениях связок голеностопного сустава третьей степени (отрыв связок от кости или их разрыв) требуется хирургическое вмешательство. Операция направлена на восстановление целостности связки с использованием сухожильного или костного шва.
- После операции пациенту необходимо носить гипсовый лангет непрерывно в течение тридцати дней;
- В послеоперационный период применяется консервативная терапия, направленная на стимуляцию регенеративных процессов и улучшение кровообращения в нижних конечностях;
- Для этого используются венотоники и препараты, расширяющие сосуды: Детралекс, Тивортин, Венорутинол. Также назначаются средства, уменьшающие послеоперационную отечность тканей.
Что категорически запрещено при растяжении голеностопного сустава
- Не рекомендуется обрабатывать поврежденный участок спиртом;
- В течение недели после травмы следует избегать любых тепловых процедур (сухое тепло, горячие ванночки, распаривания);
- Бандажи не должны оставаться на ночь;
- Запрещается «разрабатывать» (напрягать) сустав или массировать травмированную область.
Реабилитация
Реабилитация начинается после успешного завершения лечения растяжения голеностопного сустава. При этом мероприятия зависят от тяжести травмы и наличия дополнительных повреждений.
Как долго заживает растяжение связок голеностопного сустава? Это напрямую связано со степенью растяжения, своевременно оказанной первой помощью при травме и последующим лечением.
Физиотерапия в лечении растяжения голеностопа
- Ультразвуковая терапия при растяжении голеностопного сустава способствует улучшению микроциркуляции и оттоку лимфы в пораженной области. После этой процедуры наблюдается лучшее впитывание мазей и проникновение лекарственных средств в ткани;
- УВЧ-терапия помогает снизить местное воспаление и ускоряет процессы восстановления в тканях;
- Парафинотерапия. Главный эффект от этого метода заключается в снижении болевого синдрома и воспалительных процессов. Она может быть назначена на любом этапе лечения;
- Магнитотерапия. Способствует улучшению оттока лимфы и крови, увеличивает впитывание мазей и снижает уровень воспаления;
- Электрофорез с новокаином или нестероидными противовоспалительными средствами. Расширение сосудов приводит к уменьшению воспалительных процессов и болевых ощущений.
Гимнастика
Гимнастические упражнения помогают укрепить голеностопный сустав в домашних условиях. Однако начинать тренировки можно только через один-три месяца после получения разрешения от врача.
- Катание стопы по бутылке;
- Прыжки на скакалке;
- Каждый день ходите на носочках по несколько минут в течение полугода;
- Ходьба на внутренней и внешней сторонах стопы;
- Сгибание и разгибание голеностопного сустава;
- Вращение стопой;
- Спокойный бег по мелкому песку или гальке;
- Ходьба на пятках;
- Сбор мелких предметов с пола пальцами ног.
Осложнения и прогноз
Осложнения могут проявляться в разное время после получения травмы.
В ранний посттравматический период:
- Гемартроз (скопление крови в суставной полости);
- Подвывихи (или вывихи) суставов (чаще всего при третьей степени повреждения);
- Нагноение гематомы.
В поздний посттравматический период (то есть через два месяца до нескольких лет):
- Нестабильность суставов;
- Артрит;
- Плоскостопие;
- Артроз.
Растяжения связок первой степени обычно проходят без последствий (даже при домашнем лечении). Растяжения второй и третьей степени могут проявляться хроническими болями и покалыванием при физической нагрузке, что связано с образованием рубцов на нервных волокнах и появлением узелков.
Формирование рубцов приводит к нестабильности сустава и увеличивает риск повторных травм. Для предотвращения рецидивов, особенно во время занятий спортом, рекомендуется использовать специальные поддерживающие суппорты.
Как долго заживает растяжение связок голеностопа? Время заживления зависит от степени повреждения и своевременного лечения данного состояния. В целом, прогноз при растяжении голеностопа является благоприятным.
https://youtube.com/watch?v=_ziFfPD0LZg
Профилактика растяжений связок голеностопа
Профилактика растяжений связок голеностопа играет ключевую роль в поддержании здоровья суставов и предотвращении травм. Существует несколько методов, которые помогут снизить риск возникновения растяжений и других травм в области голеностопного сустава.
1. Укрепление мышц и связок: Регулярные физические упражнения, направленные на укрепление мышц голеностопа, могут значительно снизить вероятность травм. Упражнения, такие как подъемы на носки, приседания и растяжка, помогут улучшить гибкость и силу мышц, поддерживающих сустав.
2. Правильная обувь: Выбор подходящей обуви также является важным аспектом профилактики. Обувь должна обеспечивать хорошую поддержку голеностопного сустава, иметь анатомическую форму и не быть слишком тесной. Специальные спортивные кроссовки с амортизацией помогут снизить нагрузку на суставы во время физической активности.
3. Избегание резких движений: При занятиях спортом или физической активности важно избегать резких и неестественных движений, которые могут привести к травмам. Разминка перед тренировкой и плавное увеличение нагрузки помогут подготовить суставы к физической активности.
4. Использование защитных средств: В некоторых видах спорта, таких как баскетбол или футбол, рекомендуется использовать специальные бандажи или ортезы для голеностопного сустава. Эти устройства обеспечивают дополнительную поддержку и защиту, особенно при высоких нагрузках.
5. Соблюдение техники безопасности: При занятиях спортом важно соблюдать правила техники безопасности. Это включает в себя правильное выполнение упражнений, использование защитного снаряжения и внимательное отношение к своему состоянию. Если вы чувствуете дискомфорт или боль, лучше остановиться и отдохнуть.
6. Регулярные перерывы: Если ваша работа или хобби связаны с длительным стоянием или ходьбой, старайтесь делать регулярные перерывы. Это поможет снизить нагрузку на голеностопный сустав и предотвратить его перенапряжение.
Следуя этим рекомендациям, вы сможете значительно снизить риск растяжений связок голеностопа и других травм, что позволит вам активно заниматься спортом и вести полноценный образ жизни.
Использование ортопедических средств
При лечении растяжения связок голеностопа важную роль играют ортопедические средства, которые помогают обеспечить необходимую поддержку и защиту поврежденной области. К таким средствам относятся различные виды повязок, бандажей, ортезов и стелек, которые могут значительно ускорить процесс восстановления и снизить риск повторных травм.
Одним из наиболее распространенных ортопедических средств является эластичная повязка. Она обеспечивает компрессию, что способствует уменьшению отека и болевых ощущений. Эластичные повязки бывают разных размеров и степеней растяжимости, что позволяет выбрать наиболее подходящий вариант в зависимости от степени повреждения. При наложении повязки важно следить за тем, чтобы она не была слишком тугой, так как это может привести к нарушению кровообращения.
Бандажи и ортезы представляют собой более жесткие конструкции, которые обеспечивают дополнительную фиксацию голеностопного сустава. Они могут быть как мягкими, так и жесткими, в зависимости от степени травмы. Мягкие бандажи обычно используются на начальных стадиях лечения, когда требуется лишь легкая поддержка, тогда как жесткие ортезы применяются в более серьезных случаях, когда необходимо ограничить подвижность сустава и предотвратить дальнейшие повреждения.
Кроме того, существуют специальные стельки, которые помогают распределить нагрузку на стопу и снизить давление на поврежденный сустав. Они могут быть особенно полезны для людей, которые продолжают активно двигаться после травмы. Стельки могут быть изготовлены из различных материалов, включая гель и пену, что позволяет выбрать наиболее комфортный вариант.
Важно помнить, что использование ортопедических средств должно быть согласовано с врачом. Специалист поможет определить, какие именно средства будут наиболее эффективными в каждом конкретном случае, а также даст рекомендации по их правильному использованию. Неправильное применение ортопедических средств может привести к ухудшению состояния и замедлению процесса восстановления.
В дополнение к ортопедическим средствам, важно также соблюдать режим покоя и избегать чрезмерной нагрузки на поврежденный сустав. Это позволит связкам восстановиться и вернуться к нормальной функции. В сочетании с другими методами лечения, такими как физиотерапия и применение противовоспалительных мазей, ортопедические средства могут значительно ускорить процесс реабилитации и помочь вернуть пациента к активной жизни.
Роль питания в восстановлении после травмы
Правильное питание играет ключевую роль в процессе восстановления после травмы, такой как растяжение связок голеностопа. Оно не только способствует заживлению поврежденных тканей, но и укрепляет организм в целом, что особенно важно в период реабилитации.
Во-первых, необходимо обеспечить организм достаточным количеством белка. Белки являются строительными блоками для клеток и тканей, включая связки и сухожилия. Рекомендуется включать в рацион источники высококачественного белка, такие как куриное мясо, рыба, яйца, бобовые и молочные продукты. Оптимальное количество белка для восстановления может варьироваться, но в среднем рекомендуется потреблять 1.2-2.0 грамма белка на килограмм массы тела в день.
Во-вторых, важным аспектом является потребление достаточного количества витаминов и минералов. Витамин C, например, необходим для синтеза коллагена, который является основным компонентом соединительных тканей. Он содержится в цитрусовых, ягодах, брокколи и перце. Витамин D и кальций также играют важную роль в поддержании здоровья костей и связок, поэтому стоит обратить внимание на молочные продукты, рыбу и яйца.
Не менее важны антиоксиданты, которые помогают уменьшить воспаление и ускорить процесс заживления. Продукты, богатые антиоксидантами, включают ягоды, орехи, зеленый чай и темный шоколад. Эти вещества помогают защитить клетки от повреждений и способствуют восстановлению тканей.
Также стоит обратить внимание на достаточное потребление жидкости. Вода необходима для поддержания нормального обмена веществ и транспортировки питательных веществ к поврежденным участкам. Рекомендуется пить не менее 2 литров воды в день, а в период восстановления — даже больше.
Наконец, важно избегать продуктов, которые могут замедлить процесс заживления. Это касается избыточного потребления сахара, трансжиров и обработанных продуктов, которые могут способствовать воспалению и ухудшать общее состояние организма.
В заключение, сбалансированное питание, богатое белками, витаминами, минералами и антиоксидантами, является важным компонентом восстановления после растяжения связок голеностопа. Правильный рацион не только ускоряет заживление, но и помогает укрепить организм, что особенно важно для предотвращения повторных травм в будущем.





