Киста головного мозга — полостное образование с жидкостью, возникающее в различных участках мозга по разным причинам. Понимание кистозных образований, их симптомов и методов лечения важно для своевременной диагностики и эффективного управления состоянием пациента. В статье рассмотрим виды кист головного мозга, их причины, клинические проявления и современные подходы к медикаментозному и хирургическому лечению, что поможет читателям лучше ориентироваться в теме и принимать обоснованные решения о здоровье.
Причины кисты мозга
Внутри спинного и головного мозга находится спинномозговая жидкость, известная как ликвор. Она выполняет защитную функцию, оберегая ткани от повреждений и воспалительных процессов. Когда в каком-либо участке мозга происходит значительное повреждение или нарушается кровообращение, ликвор стремительно направляется в зону повреждения, что приводит к образованию скоплений жидкости. Так формируется ликворная киста головного мозга.
Размеры кистозных образований и выраженность симптомов могут варьироваться. Это зависит от расположения полости, её размеров и возраста пациента. У маленьких детей кости черепа более гибкие, чем у взрослых, поэтому киста может долгое время оставаться бессимптомной. У взрослых киста в голове чаще проявляется различными симптомами.
Заболевание может быть как врождённым, когда ребёнок уже рождается с кистой, так и приобретённым. К причинам врождённого кистозного образования относятся:
- инфекции, перенесённые плодом в утробе матери;
- недостаток кислорода (гипоксия) у плода;
- употребление беременной женщиной лекарств, влияющих на развитие плода;
- патологии плаценты;
- заболевания во время беременности (например, сахарный диабет, болезни щитовидной железы);
- резус-конфликт;
- употребление алкоголя и наркотиков беременной женщиной;
- курение беременной женщины.
Приобретённая киста головного мозга у взрослых может возникнуть в результате травм и различных заболеваний, таких как:
- травмы головы;
- родовые травмы;
- воспалительные заболевания головного мозга (менингит, энцефалит, арахноидит, абсцесс мозга);
- нарушения кровообращения в головном мозге (инсульт, ишемия, кровоизлияние);
- паразитарные инфекции центральной нервной системы: эхинококк, свиной цепень, сосальщик;
- кислородное голодание мозга;
- дегенеративные и дистрофические изменения мозговой ткани.
Иногда кистозное образование долгое время не проявляет себя. Однако в определённый момент оно может начать быстро увеличиваться и оказывать давление на мозговые ткани. Внезапно могут возникнуть признаки внутричерепной гипертензии. Спровоцировать такое состояние могут следующие факторы:
- ушибы головы;
- воспалительные и инфекционные заболевания центральной нервной системы;
- инсульты;
- гидроцефалия.
Врачи отмечают, что киста головного мозга может возникать по различным причинам, включая инфекционные заболевания, травмы или генетические предрасположенности. Симптоматика часто варьируется: некоторые пациенты могут не испытывать никаких проявлений, в то время как другие жалуются на головные боли, нарушения зрения или неврологические расстройства. Важно, что при наличии симптомов необходимо обратиться к специалисту для диагностики. Методы лечения зависят от размера и расположения кисты, а также от наличия симптомов. В некоторых случаях достаточно наблюдения, в других может потребоваться медикаментозная терапия или хирургическое вмешательство. Врачи подчеркивают, что ранняя диагностика и индивидуальный подход к каждому пациенту играют ключевую роль в успешном лечении.
https://youtube.com/watch?v=MnVEG_gEkJg
Разновидности кистозных образований и их характеристика
Кисты головного мозга делятся на несколько категорий. Их классификация основывается на поражённой области и местоположении кистозного образования.
В зависимости от места нахождения кистозные образования можно разделить на два типа:
- Арахноидальная киста головного мозга — находится в мозговых оболочках.
- Церебральная киста головного мозга — располагается в самом веществе мозга.
Также выделяются ликворные кисты — это образования, заполненные ликвором (спинномозговой жидкостью). Они могут находиться в различных зонах мозга.
| Аспект | Описание | Методы лечения |
|---|---|---|
| Причины возникновения | Врожденные аномалии развития (например, арахноидальная киста), травмы головы, инфекции (менингит, энцефалит), инсульты, опухоли, паразитарные инвазии, нарушения кровообращения. | Зависят от причины и типа кисты. |
| Виды кист | Арахноидальная киста: доброкачественное образование между оболочками мозга. Коллоидная киста: врожденная киста в желудочках мозга. Эпидермоидная/дермоидная киста: врожденные кисты из эмбриональных клеток. Пинеальная киста: в области шишковидной железы. Киста кармана Ратке: в области гипофиза. Паразитарная киста: вызвана паразитами (например, эхинококк). | Наблюдение, медикаментозное лечение, хирургическое удаление, шунтирование. |
| Симптомы | Часто бессимптомны. При увеличении размера или давлении на окружающие структуры: головные боли (пульсирующие, давящие), головокружение, тошнота, рвота, нарушения зрения, слуха, координации, судороги, слабость в конечностях, нарушения речи, памяти, изменения поведения. | Симптоматическое лечение (обезболивающие, противорвотные), противосудорожные препараты. |
| Диагностика | Магнитно-резонансная томография (МРТ) головного мозга, компьютерная томография (КТ), ультразвуковое исследование (УЗИ) у новорожденных, ангиография (при подозрении на сосудистые аномалии). | Не является методом лечения, а способом выявления. |
| Лечение | Наблюдение: при бессимптомных и небольших кистах. Медикаментозное: для снятия симптомов (обезболивающие, противовоспалительные, противосудорожные). Хирургическое удаление: при больших размерах, росте кисты, выраженных симптомах, риске осложнений. Методы: микрохирургия, эндоскопия, шунтирование (для отведения жидкости). | Зависит от типа, размера, локализации кисты и выраженности симптомов. |
| Прогноз | В большинстве случаев благоприятный, особенно при бессимптомных кистах. При своевременном лечении прогноз также хороший. Возможны рецидивы после удаления. | Зависит от типа кисты, ее размера, локализации, наличия осложнений и эффективности лечения. |
Арахноидальная киста
Формируется снаружи, в паутинной оболочке головного мозга. Может быть как врождённой, так и приобретённой. Наиболее часто к возникновению такой кисты приводят травмы головы и воспалительные заболевания. Данная патология чаще наблюдается у мальчиков и мужчин, в то время как у девочек и женщин она встречается реже. При наличии кистозной полости в паутинной оболочке часто наблюдается повышение внутричерепного давления. У пациента могут возникать тошнота, судороги, а также зрительные галлюцинации. Этот тип кистозного образования представляет опасность, так как существует риск летального исхода при его разрыве.
https://youtube.com/watch?v=irU5Fu8oD6A
Субарахноидальная киста
Это образование находится в подпаутинной оболочке мозга и, как правило, является врождённым. В большинстве случаев оно протекает без каких-либо симптомов и выявляется случайно во время диагностики других заболеваний. Особенно хорошо его можно увидеть на МРТ головного мозга. Решение о необходимости лечения зависит от наличия признаков внутричерепной гипертензии. Если у пациента отсутствуют симптомы, обычно рекомендуется динамическое наблюдение.
Киста прозрачной перегородки
Этот тип кисты относится к арахноидальному классу. Он встречается довольно часто и обнаруживается примерно у 25% пациентов, проходящих томографическое исследование. Прозрачная перегородка мозга состоит из двух слоев нервной ткани, между которыми циркулирует ликвор. При образовании скоплений спинномозговой жидкости возникает кистозная полость. Это может произойти в результате травмы, сотрясения мозга, перенесённых заболеваний или иметь врождённый характер.
Кистозное образование может не проявляться никакими симптомами, поскольку это место в мозге считается безопасным. Если киста прозрачной перегородки является врождённой, её рассматривают как аномалию развития, и специальное лечение не требуется. В случае приобретённого заболевания необходимо регулярно проходить МРТ. Пациента могут беспокоить шум в ушах, головные боли и ощущение давления в черепе. В таких ситуациях назначается лечение.
Ретроцеребеллярная киста
Формируется в пределах головного мозга. Обычно этому предшествует разрушение клеток серого вещества. Это может произойти из-за травмы, перенесённого энцефалита или менингита, а также микроинсульта. Затронутая область заполняется жидкостью, в результате чего возникает киста. Если в мозге продолжается инфекционный процесс или наблюдаются нарушения кровообращения, кистозная полость может увеличиваться. Для предотвращения её роста необходимо точно установить причину гибели клеток мозга. В случае быстрого и значительного увеличения образования может потребоваться хирургическое вмешательство.
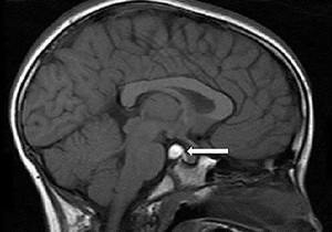
Пинеальная киста
Пинеальная киста головного мозга формируется в эпифизе — эндокринной железе, находящейся в области среднего мозга. Эпифиз также известен как шишковидное тело или пинеальная железа. Эта железа отвечает за выработку гормона мелатонина. При блокировке протока, по которому выделяется мелатонин, может возникнуть кистозное образование. Кроме того, к этому могут привести паразитарные инфекции мозга, такие как эхинококкоз.
Небольшая кистозная формация может не проявлять никаких симптомов. Однако, если её размер превышает 1 см, это может вызвать гидроцефалию и энцефалит. У пациента могут возникать головные боли, проблемы с координацией движений и двоение в глазах. Обычно маленькие кисты не требуют медицинского вмешательства, в то время как более крупные образования подлежат удалению хирургическим способом.
Лакунарная киста
Лакунарная киста формируется в подкорковых структурах мозга, реже она может встречаться в области мозжечка или зрительных бугров (таламуса). Внутри мозга образуются полости, заполненные жидкостью, которые называются лакунами. Основными факторами, способствующими образованию кистозных полостей, являются атеросклероз, возрастные изменения, а также генетические мутации или заболевания, перенесенные во время беременности. Заболевание чаще всего диагностируется у мальчиков и мужчин. На протяжении длительного времени оно может не проявляться никакими симптомами. Лишь в 20% случаев возникают признаки сжатия мозговых тканей, такие как головные боли, нарушения зрения и тошнота. Головная боль, как правило, усиливается при изменении положения тела.
Коллоидальная киста
Заболевание формируется в процессе внутриутробного развития плода и относится к врожденным патологиям. В ходе формирования нервной системы эмбриона может произойти генетический сбой, в результате которого образуется кистозная полость, заполненная желеобразным веществом. В некоторых случаях данное заболевание может не проявлять себя. Тем не менее, такие кистозные образования могут представлять серьезную угрозу, приводя к водянке головного мозга, мозговым грыжам и даже к летальному исходу для ребенка. Это происходит, когда нарушается отток ликвора.
Дермоидная киста
Это также врождённый вид кисты головного мозга. Она возникает на самых ранних стадиях эмбрионального развития, в течение первых дней. Внутри кистозной полости можно найти волосы и жировые частицы. Существует мнение, что эти элементы случайно проникают в череп в процессе раннего формирования плода и остаются там. Подобные кистозные образования могут быстро увеличиваться в размерах, поэтому их удаляют хирургическим путём.
Киста сосудистых сплетений
Наблюдается у новорожденных детей. Это состояние формируется внутриутробно, когда сосудистые сплетения начинают производить ликвор. Чаще всего кистозные образования исчезают самостоятельно в поздние сроки эмбрионального развития. Если же новорожденный имеет кисту сосудистых сплетений, это может быть связано с инфекционным заболеванием, перенесенным матерью во время беременности. Обычно такие образования рассасываются в течение первых двух лет жизни ребенка, однако в этот период необходимо регулярное наблюдение врача. В некоторых случаях кистозные образования сосудистых сплетений могут не исчезнуть в детском возрасте и сохраняться у взрослых. Обычно они не требуют лечения и протекают без каких-либо симптомов.
Порэнцефалическая киста
Это достаточно необычный тип кистозного образования. Порэнцефалическая киста головного мозга может развиться после перенесённых инфекций, затрагивающих мозг. Она формируется в структуре мозговой ткани, где возникают мертвые клетки. Данный тип кисты представляет собой серьёзную угрозу. Особенно рискованными могут быть последствия порэнцефалической кисты в области мозжечка. Среди осложнений возможно развитие водянки головного мозга (гидроцефалии) или образование щелей в полушариях мозга (шизэнцефалии). Порэнцефалическая киста требует срочного медицинского вмешательства.
Симптомы кистозных образований в голове
Симптоматика кисты головного мозга зависит от ее расположения. Некоторые типы кистозных образований могут не проявлять никаких симптомов, в то время как другие могут вызывать значительное беспокойство у пациента. Чаще всего наблюдаются признаки внутричерепной гипертензии:
- головная боль, не поддающаяся действию анальгетиков;
- тошнота (рвота не приносит облегчения);
- шум в ушах;
- проблемы с координацией движений;
- внезапные обмороки;
- ощущение давления внутри черепа;
- судороги;
- частичный паралич конечностей;
- нарушения походки (хромота);
- головокружение;
- повышенная тревожность, нервозность, психические расстройства;
- потеря чувствительности в руках и ногах;
- изменённый тонус мышц (высокий или низкий);
- ощущение пульсации в голове;
- трудности с глотанием;
- проблемы со слухом и зрением;
- нечеткая речь.
Если кистозное образование не вызывает дискомфорта и не увеличивается в размерах, то достаточно регулярного медицинского контроля и проведения МРТ. Однако крупные и растущие кисты требуют лечения, так как могут привести к серьезным осложнениям.
Осложнения заболевания
Если не предпринимать лечение, а киста продолжает увеличиваться, это может привести к серьезным последствиям для здоровья:
- разрыв кисты, что может привести к смерти;
- значительные проблемы со зрением и слухом;
- воспалительные процессы в мозге;
- водянка головного мозга;
- паралич.
Как выявить кистозное образование головного мозга?
Чтобы корректно определить лечение, важно не только обнаружить кистозное образование, но и выяснить причины его появления. Для этого проводится комплексное диагностическое обследование.
- МРТ головы (в ходе этого исследования выявляется киста);
- допплерография сосудов головного мозга;
- анализ крови на наличие инфекций;
- анализ крови на уровень холестерина;
- обследование на наличие паразитов.
Как лечить кисту головного мозга?
Лечение кисты головного мозга определяется её размерами, локализацией и выраженностью симптоматики.
Если кистозное образование небольшое, не увеличивается и не вызывает заметных симптомов, то, как правило, его не лечат, а просто наблюдают за его состоянием. Для этого периодически выполняют МРТ головного мозга.
Кисты среднего размера, возникающие на фоне других заболеваний, обычно требуют медикаментозного лечения. Терапия направлена на устранение первопричины образования кистозной полости. После успешного лечения основного заболевания кистозное образование может рассосаться самостоятельно.
В процессе лечения применяются следующие группы медикаментов:
- средства для рассасывания спаек в мозге (например, Лонгидаза, Карипаин);
- ноотропные препараты (такие как Пикамилон, Истенон, Пантогам);
- антибиотики и антивирусные средства (в случае, если кистозное образование связано с воспалительным процессом);
- противопаразитарные лекарства (если киста возникла из-за паразитов в головном мозге);
- гипотензивные средства;
- препараты для снижения уровня холестерина;
- глюкокортикоиды;
- диуретики (для уменьшения внутричерепного давления).
Хирургическое лечение
Большие опухоли в головном мозге удаляются хирургическим способом. Это наиболее радикальный метод лечения. Операции выполняются различными техниками:
- Трепанация черепа. В ходе этой процедуры вскрывается череп пациента, и кистозное образование удаляется полностью. Рецидивы кисты, как правило, не возникают. Этот метод считается очень эффективным, однако он также является наиболее травматичным.
- Шунтирование. В черепе делается небольшой прокол, через который устанавливается дренажная трубка в полость кисты. С помощью дренажа осуществляется отток жидкости из кистозного образования. Киста уменьшается в размерах, и со временем её стенки рассасываются. Этот метод менее травматичен по сравнению с трепанацией, но существует риск инфицирования.
- Эндоскопический метод. В черепе создается прокол, через который вводится эндоскоп — небольшой прибор с видеокамерой. Удаляется содержимое кистозной полости, а её стенки со временем рассасываются самостоятельно. Это самый безопасный способ удаления, однако не все виды кистозных образований можно удалить таким образом.
Как предупредить возникновение кист головного мозга?
Профилактика врождённых кист представляет собой сложную задачу, поскольку они формируются в результате нарушений, происходящих в период внутриутробного развития. Тем не менее, можно предложить несколько рекомендаций для будущих мам:
- Полностью исключить алкоголь и никотин на протяжении всей беременности.
- С осторожностью подходить к приему медикаментов во время беременности и обязательно консультироваться с акушером-гинекологом перед использованием любых лекарств.
Что касается профилактики приобретённых кист, то и здесь задача не из легких. Не всегда удается точно определить причину их возникновения. Однако соблюдение ряда рекомендаций может помочь снизить вероятность образования кист:
- При травмах головного мозга с обширными кровоизлияниями необходимо полностью удалять образовавшиеся кровяные сгустки из черепной полости, чтобы избежать формирования кисты на месте гематомы.
- Во время нейрохирургических операций важно полностью остановить кровотечение.
- Своевременно лечить воспалительные процессы и травмы головного мозга, а назначенную терапию завершать до конца.
- Регулярно проходить МРТ головного мозга, если это возможно.
https://youtube.com/watch?v=JUSC9MFJPyM
Диагностика кист головного мозга
Диагностика кист головного мозга представляет собой важный этап в выявлении и лечении данного заболевания. Кисты могут быть обнаружены случайно при проведении исследований по другим причинам, однако для точного определения их природы и возможных последствий необходимо провести ряд специализированных диагностических процедур.
Первым шагом в диагностике является сбор анамнеза и клинический осмотр пациента. Врач обращает внимание на симптомы, которые могут указывать на наличие кисты, такие как головные боли, нарушения зрения, изменения в поведении или когнитивные функции. На основании собранной информации врач может назначить дополнительные исследования.
Наиболее распространенным методом визуализации для диагностики кист головного мозга является Магнитно-резонансная томография (МРТ). Этот метод позволяет получить детализированные изображения мозга и выявить наличие кист, их размер, локализацию и структуру. МРТ является неинвазивным и безопасным методом, который не использует ионизирующее излучение, что делает его предпочтительным для диагностики у детей и беременных женщин.
В некоторых случаях может быть назначена Компьютерная томография (КТ). Этот метод также позволяет визуализировать структуры мозга, однако он менее информативен по сравнению с МРТ, особенно для мягких тканей. КТ может быть полезна в экстренных ситуациях, когда необходимо быстро оценить состояние пациента, например, при подозрении на кровоизлияние или другие острые состояния.
Кроме того, для более детального изучения содержимого кисты и ее природы может быть проведена пункция кисты. Этот инвазивный метод включает в себя введение иглы в кисту для забора жидкости, которая затем анализируется в лаборатории. Пункция может помочь определить, является ли киста доброкачественной или злокачественной, а также выявить возможные инфекции или другие патологии.
Важно отметить, что диагностика кист головного мозга должна проводиться квалифицированными специалистами, так как неправильная интерпретация результатов может привести к неверному диагнозу и, соответственно, к неэффективному лечению. Врач-невролог или нейрохирург, основываясь на результатах диагностики, сможет предложить оптимальный план лечения, учитывая индивидуальные особенности пациента.
Таким образом, диагностика кист головного мозга включает в себя комплексный подход, который сочетает в себе клинические методы, визуализационные исследования и, при необходимости, инвазивные процедуры. Это позволяет не только выявить наличие кисты, но и оценить ее влияние на здоровье пациента, что является ключевым для выбора правильной стратегии лечения.
Прогноз и качество жизни пациентов с кистами мозга
Прогноз и качество жизни пациентов с кистами мозга зависят от множества факторов, включая тип кисты, её размер, локализацию, а также наличие сопутствующих заболеваний и симптомов. В большинстве случаев кисты головного мозга являются доброкачественными образованиями, которые не требуют активного лечения и могут не оказывать значительного влияния на здоровье пациента.
Однако, если киста вызывает симптомы, такие как головные боли, нарушения зрения, судороги или другие неврологические проявления, это может существенно ухудшить качество жизни. В таких случаях важно провести тщательное обследование, чтобы определить, требуется ли хирургическое вмешательство или другие методы лечения.
При наличии больших кист, которые оказывают давление на окружающие ткани мозга, прогноз может быть менее благоприятным. В таких ситуациях может возникнуть необходимость в хирургическом удалении кисты, что связано с определенными рисками, включая возможность осложнений и рецидивов. Тем не менее, современные методы нейрохирургии позволяют успешно удалять такие образования, что в большинстве случаев приводит к улучшению состояния пациента.
Важно отметить, что даже при наличии кисты, многие пациенты могут вести полноценную жизнь, особенно если киста не вызывает выраженных симптомов. Регулярные медицинские осмотры и контроль за состоянием кисты позволяют своевременно выявлять изменения и при необходимости корректировать лечение.
В целом, прогноз для пациентов с кистами головного мозга в большинстве случаев благоприятный, особенно если киста была диагностирована на ранней стадии и не вызывает значительных нарушений. Поддержка со стороны медицинских специалистов, а также психоэмоциональная поддержка со стороны близких могут сыграть важную роль в улучшении качества жизни пациентов, страдающих от этого заболевания.
Психологические аспекты и поддержка пациентов с кистами мозга
Кисты головного мозга, несмотря на свою часто доброкачественную природу, могут вызывать значительный стресс и тревогу у пациентов и их близких. Психологические аспекты, связанные с диагнозом, играют важную роль в общем состоянии здоровья пациента и его способности справляться с заболеванием.
Первоначальный диагноз кисты может вызвать у пациента чувство неопределенности и страха. Многие люди начинают беспокоиться о возможных последствиях для своего здоровья, о том, как это повлияет на их повседневную жизнь, работу и отношения. Важно понимать, что такие чувства являются нормальными и естественными в данной ситуации.
Существует несколько ключевых аспектов, которые могут помочь пациентам справиться с психологическими трудностями, связанными с наличием кисты головного мозга:
- Информированность: Получение полной информации о состоянии здоровья, типе кисты, возможных симптомах и методах лечения может значительно снизить уровень тревожности. Пациенты должны быть вовлечены в процесс принятия решений о своем лечении и иметь возможность задавать вопросы своему врачу.
- Эмоциональная поддержка: Общение с близкими, друзьями и другими людьми, которые сталкивались с подобными проблемами, может оказать значительное влияние на эмоциональное состояние пациента. Группы поддержки и онлайн-форумы могут стать ценным ресурсом для обмена опытом и получения моральной поддержки.
- Психотерапия: В некоторых случаях может быть полезно обратиться к психологу или психотерапевту. Профессиональная помощь может помочь пациенту разобраться в своих чувствах, научиться справляться со стрессом и тревогой, а также развить навыки преодоления трудных ситуаций.
- Методы релаксации: Практики, такие как медитация, йога или дыхательные упражнения, могут помочь снизить уровень стресса и улучшить общее самочувствие. Эти методы способствуют расслаблению и могут помочь пациентам лучше справляться с эмоциональными нагрузками.
- Физическая активность: Регулярные физические упражнения способствуют выработке эндорфинов, которые улучшают настроение и общее состояние здоровья. Умеренная физическая активность может стать важной частью стратегии по улучшению психоэмоционального состояния.
Важно помнить, что каждый пациент уникален, и подход к поддержке должен быть индивидуализированным. Психологические аспекты, связанные с кистами головного мозга, требуют внимания и понимания как со стороны медицинских работников, так и со стороны близких людей. Забота о психическом здоровье является неотъемлемой частью общего процесса лечения и восстановления.







